试题详情
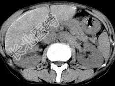
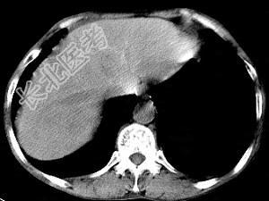
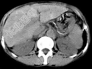
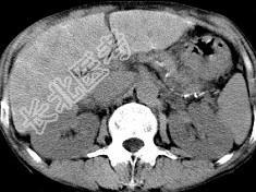
- 单项选择题男,40岁有血吸虫感染史, 腹胀不适,食欲减退, CT扫描所见如图,最可能的诊断是 ( )

A、肝炎后肝硬化
B、血吸虫后肝硬化
C、酒精性肝硬化
D、胆汁性肝硬化
E、脂肪肝
关注下方微信公众号,搜题查看答案

热门试题
- 下列选项中,不属外感腰痛致病病邪的是(
- 患者双侧对称分布的痛、温觉消失,本体感觉
- "金"性具有的特征包括( )A、条达
- 下述哪项不是HIV感染的高危人群 (
- 便秘的病机关键是( )A、热盛伤津,
- "三妙散"可用于治疗( )A、寒湿腰
- SARS主要流行于 ( )A、冬
- 下列关于抗胆碱酯酶药的描述,正确的是A、
- 手少阳三焦经与足少阳胆经相接的部位是(
- 蛲虫病的实验诊断方法哪项是错误的 (
- 布氏杆菌病可通过多种途径传播,其中最主要
- 感冒一年四季均可发病,但最多见于(
- 下列选项中,不属舌形改变的是( )A
- 在推拿手法中,常与搓法、捻法一同配合运用
- 关于图中所示的脊髓灰质炎病毒,正确的是
- 肝气郁滞型月经先后无定期,首选方是(
- 属于泻下剂的是( )A、大承气汤B、
- 流脑最常见的皮疹为 ( )A、玫
- 班氏丝虫病早期临床表现的特征是 (
- 不完全抗原(半抗原)是指A、既有免疫原性