试题详情
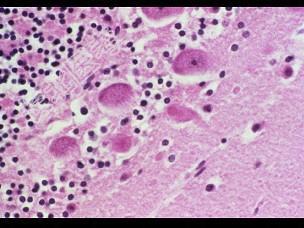
- 单项选择题如图,有关狂犬病的内氏小体, 下列哪项不正确 ( )

A、常见于海马旁回和小脑
B、主要位于神经细胞核内
C、是一种嗜酸性包涵体
D、对狂犬病有诊断价值
E、是狂犬病毒的集落
关注下方微信公众号,搜题查看答案

热门试题
- 下列穴位中,属于足少阳胆经穴的是(
- 病原体侵入人体后能否引起疾病,主要取决于
- 患者双侧对称分布的痛、温觉消失,本体感觉
- 引起腹痛的全身性疾病不包括A、Crohn
- 二度Ⅱ型房室传导阻滞的心电图表现是A、在
- 有关术前讨论,以下概念哪项不正确A、因患
- 受血者配血试验的血标本必须是输血前多少天
- 下列选项中,不为郁证特征的是( )A
- 传染病流行必需的3个环节是 (
- 关于内毒素性质,错误的叙述是A、来源于革
- 白喉死亡的主要原因为 ( )A、
- 男,40岁,双腕关节和指间关节疼痛、肿胀
- 诊断甲状旁腺功能亢进症的主要依据是A、T
- 1、该例最可能的诊断是A、TTPB、IT
- 钩端螺旋体的主要特征为 ( )A
- 下列不属于梅毒血清学试验的是A、性病研究
- 经络系统中,同脏腑有直接络属关系的是(
- 意识模糊表现为A、眼球无转动B、意识大部
- 脱落细胞检查背景成分不包括A、黏液B、异
- 周围性眩晕可见于A、迷路炎B、癫痫C、多