试题详情
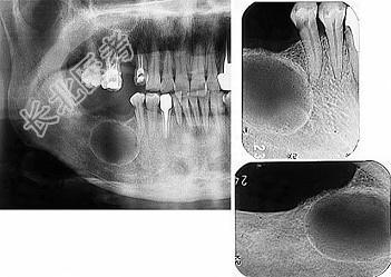
- 单项选择题发现下前牙变色,唇侧牙龈一肿物一月余, 经X 线检查,结果如图。最可能的诊断是 ( )

A、根尖囊肿
B、牙龈瘤
C、根尖脓肿
D、成釉细胞瘤
E、牙骨质瘤
关注下方微信公众号,搜题查看答案

热门试题
- 对牙周炎的描述正确的是A、牙周炎呈慢性、
- 女婴,2个月, 口腔黏膜出现白色凝乳状的
- 1、临床诊断可能是2、治疗首选3、如何预
- 1、急性牙髓炎的病理变化不包括A、牙髓血
- 患者,女, 41岁,因下颌前牙不适2个月
- vita Lumin Vacuum选色顺
- 1、口腔中最重要的致龋茼A、变形链球菌B
- 可能引起根尖周炎的因素有A、根管内封甲醛
- 不会发生恶变的疾病有A、白斑B、慢性盘状
- 下列哪一个洞形属BLACKⅡ类洞A、43
- 1、请指出下列最可能引起牙周病患者的牙龈
- 下列所描述的牙外伤中,损伤最轻的是A、牙
- 1、为鉴别诊断,此患者采集病史时,应注意
- 龋齿充填近期出现激发痛和自发痛,多是由于
- 下列间接盖髓的适应证中,不正确的是A、深
- 口腔扁平苔藓的临床表现,下列哪项是错误的
- 患者,女性, 22岁,9年前左上中切牙因
- 关于恒牙龋失补指数说法错误的是A、"龋"
- 龋好发于牙齿的A、自洁区B、边缘嵴C、滞
- 以下不属于牙周细菌的直接致病作用的是A、