试题详情
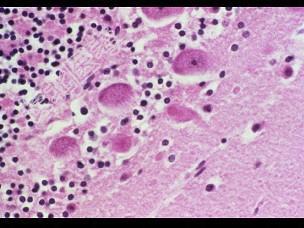
- 单项选择题如图,有关狂犬病的内氏小体,下列哪项不正确 ( )

A、常见于海马旁回和小脑
B、主要位于神经细胞核内
C、是一种嗜酸性包涵体
D、对狂犬病有诊断价值
E、是狂犬病毒的集落
关注下方微信公众号,搜题查看答案

热门试题
- 不属于人兽共患的自然疫源性传染病是A、乙
- 弯曲菌感染的治疗,下列哪些措施正确 (
- SARS病人应与下列哪些疾病鉴别 (
- 为防止伤寒病的地区性流行,在当地采取哪项
- 男,40岁有血吸虫感染史,腹胀不适,食欲
- 出生3个月婴幼儿接触麻疹病人1天,应采取
- 下列均是皮下及肌肉囊虫病的特点,除了A、
- 关于痢疾杆菌,下列哪项是正确的 (
- 艾滋病防治的行为干预措施不包括A、早期发
- 发热伴出血疹可见于以下疾病,除了A、伤寒
- 下列哪种疾病不出现潜伏性感染 (
- 下述哪项不是艾滋病的主要转播途径 (
- 关于姜片虫病的粪便检查,正确的是 (
- 如图所示,下列关于旋毛虫病的病原学特点的
- 关于霍乱,下列哪种说法是错误的 (
- 下列哪项不是流行性出血热的常见并发症
- 关于百日咳的发病机制与病理解剖的描述,不
- 有关狂犬病传染源的叙述,下列哪项是错误的
- 下列哪一项不属于传染源 ( )A
- 引起病原体变异因素不包括A、病原体所处的