试题详情
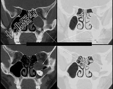
- 多项选择题图为上颌骨囊肿的外观及影像表现,关于此病的描述正确的是 ( )

A、X 线表现为圆形或椭圆形透明阴影
B、生长缓慢,早期无自觉症状
C、囊肿较大时扪之有乒乓球感
D、可引起病理性骨折
E、穿刺可得草黄色囊液
关注下方微信公众号,搜题查看答案

热门试题
- 患者男性,58岁,行舌大部分切除术,舌体
- 1、铸造金属桥的焊接方法可分为两种,一次
- 不属于室温化学固化塑料的成形方法的是A、
- 1、对此类创伤的处理原则是2、若无组织缺
- 颈总动脉压迫时引起心律失常、血压变化甚至
- 对于牙髓根尖周病患者选择错误的是A、妊娠
- 下述哪项可起间接固位作用A、冠内附着体B
- 患者男,29岁因外伤致前牙折断,检查:<
- 1、该患牙充填后出现的问题是2、其原因最
- 全口义齿排牙基本要求应包括A、
- 1、对此患者的诊断可能为2、根据错
- 固定义齿修复要求A、拔牙后3个月B、1~
- 关于手术切口,哪项是错误的A、切口尽量与
- 临床上局麻时在麻药中加入肾上腺素的作用包
- 全口义齿固位差的原因有A、义齿基托边缘伸
- 根据阻生智齿长轴与第二磨牙的关系,阻生智
- 唇腭裂的序列治疗包括以下哪些内容A、唇、
- 按照1982年Mulliken提出的细胞
- 以下关于疱疹样口疮的说法不正确的是A、好
- 菌斑控制的方法有A、刷牙B、切龈术C、洁