试题详情
- [材料题] 患者男性,38岁,工人,因发热1月余,伴咳嗽.咳痰半个月,于2004年7月4日入院。入院前1个月劳累后出现发热,最高体温达39.3℃,午后为主,伴盗汗,全身无力,无咯血。在外院予以青霉素每日800万单位静脉注射3天,症状无明显好转。仍发热,体温波动于38~39℃,伴咳嗽.咳少量白粘痰,乏力盗汗,纳差,无胸痛及消瘦。
- 多项选择题1.患者初步诊断主要考虑哪些疾病
A、上呼吸道感染
B、肺炎
C、肺脓肿
D、急性支气管炎
E、病毒感染
F、肺结核
关注下方微信公众号,搜题查看答案

- 多项选择题2.针对鉴别诊断,入院后应重点完善哪些资料
A、血常规
B、胸部X片
C、心电图
D、痰培养+药敏试验
E、肝肾功能.血糖.电解质等生化指标测定
F、痰涂片找抗酸杆菌
关注下方微信公众号,搜题查看答案

- 多项选择题3.本患者的鉴别诊断有哪些
A、肺脓肿
B、肺囊肿伴感染
C、肺癌的癌性空洞
D、金黄色葡萄球菌肺炎
E、肺隔离症
F、肺包囊虫病
G、韦格氏肉芽肿
关注下方微信公众号,搜题查看答案

- 多项选择题4.本患者属初治病人,治疗的原则是
A、早期.联用.适量.规律.全程
B、DOTS
C、短程化疗
D、必须选用两种以上的敏感药物
E、要有2个月的强化期
F、要有4个月的巩固期
关注下方微信公众号,搜题查看答案

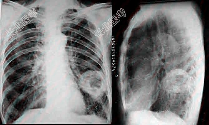
- 多项选择题5.提示:体格检查: 体温38.9℃,呼吸26次/分, 脉搏120次/分,血压120/60mmHg, 神志清,精神可, 双侧呼吸运动对称,左侧背部语颤增强, 叩诊浊音,左侧背部可闻及管状呼吸音及少量湿性啰音, 右侧无异常。心率120次/分,律齐。血常规: WBC8.7×10⁹L,NE90%, LY10%,HB121g/L, 血沉60mm/h,胸片可见左肺下叶背段片状阴影, 可见直径约4cm大小空洞影,洞壁欠光滑, 左肋膈角稍钝。如图所示。
根据以上的检查应采取什么措施 A、左氧氟沙星静滴
B、头孢霉素静滴
C、胸部CT
D、痰结核菌快速培养
E、纤维支气管镜
F、祛痰药
关注下方微信公众号,搜题查看答案

- 多项选择题6.提示:三次痰培养结果阴性, 痰涂片抗酸杆菌阳性。肺结核的诊断依据
A、病史
B、体格检查
C、胸部X片
D、血常规
E、痰培养加药敏
F、痰涂片找抗酸杆菌
关注下方微信公众号,搜题查看答案

热门试题
- 目前肺结核分为A、3大类B、4大类C、6
- 卡介苗是A、是纯蛋白衍生物B、是活的人型
- 男,50岁, 左侧胸痛1个月。有吸烟史2
- 1、35%,胸片示左下肺斑片条索阴影无明
- 下述哪几项指标有助于缩窄性心包炎与限制性
- 结核病全身中毒症状中最多见的是A、夜间盗
- 1、最可能的诊断是A、肺炎球菌肺炎B、干
- 1、抽取胸水对患者可能益处不包括2、为了
- 男性,57岁,反复咳嗽、咳痰15年伴活动
- 1、该患儿最大可能的诊断是A、原发性肺结
- 男,65岁,吸烟史20年。近两个月来刺激
- 空洞排菌肺结核疗效不佳的可能原因有A、空
- 关于结核杆菌正确的是A、需氧菌B、厌氧菌
- 支气管扩张引起大咯血的原因为A、支气管动
- 肺脓肿早期的X线表现与下列哪种疾病最相似
- 结核性与癌性胸膜炎的最主要鉴别点是A、胸
- SARS诊断应注意鉴别的疾病有A、中毒型
- 对未接种卡介苗而PPD近期阳转的3岁以下
- 下述有关SARS病毒的病原学特点正确的是
- 肺炎球菌致病力是由于A、细菌产生的溶血素