试题详情
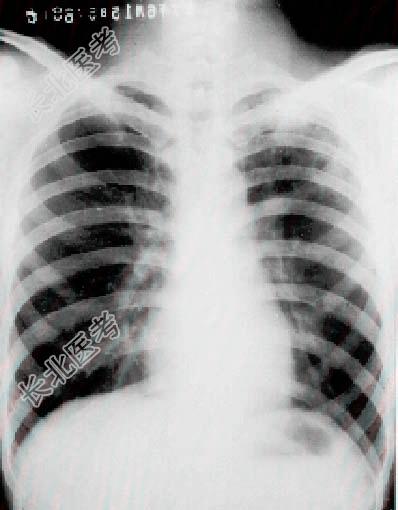
- [材料题] 患者男性,25岁。半年前因咳嗽.发热.胸痛,在当地诊断为肺炎,用青.链霉素治疗三周,一般情况好转停药。近数月又咳嗽.痰多,一直按肺炎治疗,后曾短期加抗痨药效果不佳,因诊断未明而入院。体检:左上肺呼吸音略低,胸片见下图。

- 多项选择题1.根据病史胸片,你认为下列那种病可能为大?
A、慢性肺脓肿
B、支气管囊肿感染
C、肺癌
D、肺结核
E、肺曲菌病
F、肺包虫囊肿
G、肺隔离症
H、肺吸虫病
关注下方微信公众号,搜题查看答案

- 多项选择题2.你认为下列哪几项必需进一步检查?
A、血白分
B、痰找癌细胞三次
C、拍右侧侧位片
D、拍局部分层片
E、痰找结核菌
F、痰普通菌培养
G、痰霉菌培养
H、O
关注下方微信公众号,搜题查看答案

- 多项选择题3.检查提示:痰浓缩法找结核菌3次均(+), 痰霉菌培养2次均(-),痰普通菌培养无致病菌生长。WBC: 23×10⁹/L,N: 0.89,L: 0.11。 根据上述提示你的诊断?
A、Ⅰ下0/(-)集(+),进展
B、Ⅱ下0/(-)集(+),进展
C、Ⅲ(-)/上0集(+),进展
D、Ⅳ下0/(-)集(+),进展
E、Ⅰ下0/(-)集(+),好转期
F、Ⅱ下0/(-)集(+),好转期
G、Ⅲ下0/(-)集(+),好转期
H、Ⅳ下0/(-)集(+),好转期
关注下方微信公众号,搜题查看答案

- 多项选择题4.根据诊断请定出最佳短程化疗治疗方案?
A、12HSP
B、3HSP/9HP
C、2HRS/4HR
D、2HRZ/4HR
E、2HRSE/4HRE
F、2HRZS/4HRE
G、2HRSE/7HRE
H、2HRZE/7HRE
关注下方微信公众号,搜题查看答案

- 多项选择题5.检查提示:患者出现视力减退。 应作何紧急处理?
A、眼科会诊
B、停止所有一切抗结核药物
C、停止所有一切药物
D、停止某一抗结核药物
E、口服vit B6
F、停药观察
关注下方微信公众号,搜题查看答案

- 多项选择题6.指出下列抗结核药物中哪个会影响视力减退?
A、INH
B、PAS
C、SM
D、KM
E、PZA
F、1321th
G、RFP
H、EMB
关注下方微信公众号,搜题查看答案

- 多项选择题7.指出下列抗结核药物中哪3种最易引起肝功能损害?
A、INH
B、PAS
C、SM
D、KM
E、PZA
F、1321th
G、RFP
H、EMB
关注下方微信公众号,搜题查看答案

- 多项选择题8.指出哪些药物可引起耳鸣或听力下降?
A、INH
B、PAS
C、SM
D、KM
E、PZA
F、1321th
G、RFP
H、EMB
关注下方微信公众号,搜题查看答案

热门试题
- 预防小儿结核病的措施有A、隔离和治疗结核
- 女孩,6岁, 患原发型肺结核,其病理转归
- 1、目前考虑的诊断包括2、为明确诊断首先
- 儿童原发型肺结核最少见的表现是A、发烧B
- 属抑菌作用的抗结核药物是A、异烟肼(IN
- 关于结核菌素试验反应的意义下列正确的是A
- 结核菌进入血液循环可引起A、喉、肠结核B
- 1、最有可能的诊断是A、结核性胸膜炎B、
- 结核性腹膜炎的病理类型包括A、渗出性B、
- 对于休克型肺炎的诊断,下列哪项最重要A、
- 男性,52岁。慢性咳痰, 时呈黄脓性痰,
- 治疗肺结核咯血最有效的药物是A、酚磺乙胺
- 男性,58岁。因咳嗽、痰血1个月余来院就
- 关于耐多药肺结核下列说法正确的是A、对至
- 对于结核性胸膜炎的胸水蛋白含量高,容易引
- 继发型肺结核的发病过程主要是由于A、饮用
- 关于慢性肺心病心衰应用洋地黄治疗的叙述,
- 结核性脑膜炎脑脊液特点有A、压力增高B、
- 女性,28岁, 病理活检诊断为右锁骨上淋
- 目前初治肺结核合并糖尿病患者,在积极治疗