- [材料题] 患者男性,47岁,8天前受凉后出现发热,午后较高,最高41℃,无畏寒,感胸闷,偶有干咳,无咯血。当地胸片示:两肺弥漫小结节影。痰找抗酸杆菌3次(-),PPD阴性,血TB-MYCODOT(+)。当地给予静滴先锋5和先锋铋3天热未退。曾患血吸虫病,无肝炎.糖尿病与肺结核病史,采石30年。查体:T39.8℃,P102次/分,R20次/分,BP120/80mmHg,消瘦,两肺呼吸音粗,未闻及干湿罗音。入院血象:WBC10.2×10⁹/L,N0.947,L0.04,RBC4.05×10¹²/L。
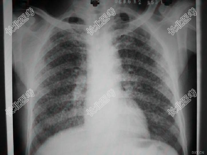
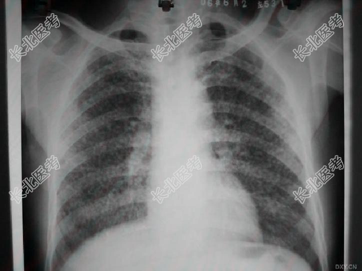
- 多项选择题1.提示:6月2日胸片(入院时胸片),见下图。
,
急诊做哪些处理是必需的 A、立即留取呼吸道做细菌学培养
B、按抗菌素升级使用原则经验性使用抗菌素
C、按抗菌素降级使用原则经验性使用抗菌素
D、使用抗结核药物
E、立即留取血液标本做细菌学培养
F、补充液体以口服为主,适量控制静脉补液量
G、检查心肌酶谱
H、使用糖皮质激素
I、物理降温
关注下方微信公众号,搜题查看答案

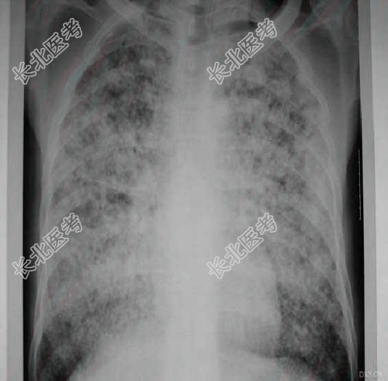
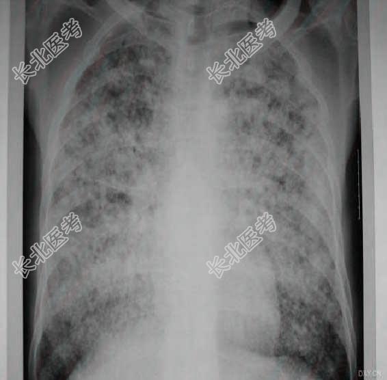
- 多项选择题2.提示:经给予左克.头孢吡肟.去甲万古霉素.氟康唑治疗4天, 仍持续高热,且病情加重出现呼吸衰竭。吸氧3.5L/分条件下, 血气:PH7.49, PaO₂46.8mmHg,PaCO₂7.4mmHg, HCO₃-20.4mmol/L,AaDO₂68.4mmHg。6月6日胸片及CT示双肺弥漫性结节状密度增高影, 内见细支气管充气征,纵膈内有肿大淋巴结。 治疗上应首先采取以下哪些措施
A、立即给予呼吸机PEEP或CPAP呼吸支持
B、使用糖皮质激素
C、更换抗菌素
D、给予抗结核治疗
E、维持适当的液体平衡
F、纠正酸碱平衡
G、体外循环人工肺呼吸支持
关注下方微信公众号,搜题查看答案

- 多项选择题3.提示:根据病史和X线影像。见下图。
,
首先考虑哪些诊断 A、粟粒性肺结核
B、肺泡细胞癌
C、外源性过敏性肺泡炎
D、AIP(急性间质性肺炎)
E、NSIP(非特异性间质性肺炎)
F、ARDS(急性呼吸窘迫综合征)
G、尘肺
关注下方微信公众号,搜题查看答案

- 多项选择题4.下述描述哪些符合肺泡细胞癌的临床特点
A、急性进行性呼吸困难
B、可表现为咳大量泡沫状痰
C、发热等中毒症状明显
D、无明显中毒症状
E、干咳无痰
F、渐进性呼吸困难
G、可表现为两肺野分布均匀
H、常伴有咯血
关注下方微信公众号,搜题查看答案

- 多项选择题5.下述描述哪些符合急性粟粒性肺结核
A、大多伴有咯血
B、约半数病人结核菌素试验呈阳性反应
C、X线表现为两肺野大小不一.分布不均.密度不等的弥漫性结节状阴影
D、50%以上的病人痰厚涂片检查可找到抗酸杆菌
E、多为急性起病,有明显的菌血症症状
F、可由原发性肺结核发展而来
G、痰厚涂片抗酸杆菌阳性检出率较低
H、咳大量泡沫样痰
关注下方微信公众号,搜题查看答案

- 多项选择题6.下述描述哪些符合外源性过敏性肺泡炎
A、是与环境中微生物感染引起的疾病
B、是吸入外界有机粉尘所引起的免疫介导的疾病
C、发病机制明确,属Ⅰ型变态反应性疾病
D、发病机制明确,属Ⅱ型变态反应性疾病
E、发病机制明确,属Ⅲ型变态反应性疾病
F、发病机制复杂,可能为Ⅰ.Ⅲ.Ⅳ型变态反应性疾病
G、发病机制明确,属Ⅳ型变态反应性疾病
H、病理变化在急性期以肺泡炎和间质性肺炎为特征
I、临床上表现为感染后立即出现高热
J、X线胸片在急性期呈中
关注下方微信公众号,搜题查看答案

- 多项选择题7.下述描述哪些符合急性间质性肺炎
A、多发生于儿童和青年
B、病程短,在2周至半年内死亡
C、平均病程5-6年
D、多在40-50岁发病
E、以隐袭性进行性呼吸困难为突出症状
F、以糖皮质激素治疗为主
G、X线胸表现为弥漫性细小结节影
H、X线胸片可能基本正常或呈磨沙玻璃样变化,隐约可见小结节影
I、肺体积缩小
关注下方微信公众号,搜题查看答案

- 多项选择题8.下述描述哪些符合急性呼吸窘迫综合征
A、发病过程中主要参与的细胞是中性粒细胞.巨噬细胞.淋巴细胞
B、发病过程中主要参与的细胞是中性粒细胞.巨噬细胞.肺泡毛细血管内皮细胞
C、白细胞介素-4(IL-4).IL-10.IL-13增加
D、肿块坏死因子(TNF-α).IL-1.IL-8.血小板活化因子(PAF).超氧化物.补体.粘附分子增加
E、主要病理改变是肺广泛性充血水肿和肺泡内透明膜形成
F、早期X线胸片可无异常或呈轻度间质改变,继之出现斑片状至大片状浸润阴影.可见支气管充气征
G、X线胸片与病情严重性高度相关
H、氧合指数降低不是诊断的必要条件
I、卧位时呼吸困难加重
J、治疗可持续低流量给氧
关注下方微信公众号,搜题查看答案

- 多项选择题9.首先应做哪些检查帮助该病例诊断
A、开胸肺活检
B、支气管镜检查(视检.刷检.肺泡灌洗.肺活检等检查)
C、经皮穿刺肺活检
D、血培养和药敏试验
E、诊断性抗结核治疗
F、反复多次痰抗酸染色检查
G、反复多次痰菌培养
H、血CEA(癌胚抗原)检查
I、骨髓穿刺检查
关注下方微信公众号,搜题查看答案

- 多项选择题10.提示:经给予左克.头孢吡肟.去甲万古霉素.氟康唑治疗4天, 仍持续高热,且病情加重出现呼吸衰竭。吸氧3.5L/分条件下, 血气:PH7.49, PaO₂46.8mmHg,PaCO₂7.4mmHg, HCO₃⁻20.4mmol/L,AaDO₂68.4mmHg。6月6日胸片及CT示双肺弥漫性结节状密度增高影, 内见细支气管充气征,纵膈内有肿大淋巴结。如下图。
此时首先考虑哪些诊断: A、血行播散型结核病
B、急性脓毒血症
C、呼吸性酸中毒
D、代谢性碱中毒
E、急性呼吸窘迫综合征
F、急性肺损伤
G、呼吸性碱中毒
H、代谢性酸中毒
关注下方微信公众号,搜题查看答案

- 男,60岁, 患糖尿病10年,近1年血糖
- 肺结核的基本病理变化中渗出为主的病变是指
- 下列哪项检查能清晰显示各型肺结核病变特点
- 在有效抗生素治疗下,影响肺脓肿疗效的重要
- 阻塞性肺气肿的X线表现为A、肺透亮度增加
- 男性,45岁,既往有肺结核史。近来,健康
- 下列哪项显像技术能够准确地识别急性坏死心
- 男性,38岁,因发热,咳嗽,气短入院。已
- 婴幼儿结核性脑膜炎中期主要临床表现有A、
- 1、对于该患目前为进一步治疗,最需要做的
- 关于原发型肺结核的概念,哪几项描述是正确
- 结核病的主要社会传染源是A、排菌的病人B
- PCP的感染途径是A、接触传染B、体内潜
- 1、下列检查中不应作为常规检查的是A、血
- 关于呼吸衰竭的叙述,下列哪项不正确A、急
- 小婴儿原发性结核病其传染源主要来自A、父
- 5岁患儿,因发烧2天, 伴消瘦和食欲下降
- 肺结核大咯血时,应采取体位是A、健侧卧位
- 对于肺结核的中毒症状,使用糖皮质激素的方
- 女,30岁, 突发左侧气胸,肺脏压缩50