试题详情
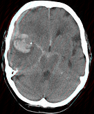
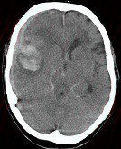
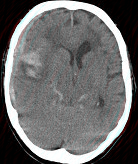
- 单项选择题女,79岁, 突发神志不清,请结合影像图像判断其最可能的诊断 ( )




A、脑转移瘤出血
B、脑脓肿
C、脑梗死
D、右大脑中动脉破裂出血
E、脑膜炎
关注下方微信公众号,搜题查看答案

热门试题
- 巴比妥中毒导致休克的主要原因为A、代谢性
- 患者女性,35岁, 已婚,生育史妊2产0
- 患甲类传染病如鼠疫、霍乱,乙类传染病如肺
- 下列属于河豚中毒诊断要点的是( )。
- 绞痛或痉挛性疼痛多见于( )。A、胰
- 关于易化扩散的叙述,不正确的是A、通道的
- 咯血最严重的后果是( )。A、咳嗽B
- 休克时使用多巴胺的推荐剂量为 (
- 应激过程最突出的表现是A、胸腺细胞肥大B
- 有关高血钾的病因正确的有 ( )
- 如果发现有人触电,以下措施正确的是A、迅
- 在代谢性酸中毒原因中,以下哪一项是错误的
- 正常成人女性的红细胞数量平均为A、5.4
- 危重症患者机体的代谢以以下哪项为主 (
- 关于阿片类药物中毒机制,下列说法错误的是
- 病毒性心肌炎病原学诊断中最具价值的依据是
- 吸入后易导致肺出血-肾炎综合征的有 (
- 下列维拉帕米的不良反应禁忌,正确的是(
- 抢救氰化物中毒最有效的方法为应用A、阿托
- 正常调节每搏输出量多少的决定因素是A、心