试题详情
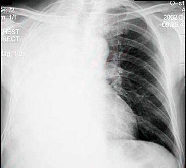
- 单项选择题男性患者,65岁, 因胸痛1个月就诊,胸片检查见图, 以下诊断中最明确的是 ( )

A、右肺炎症
B、右侧胸腔积液
C、右肺不张
D、肺栓塞
E、右肺胸膜肥厚
关注下方微信公众号,搜题查看答案

热门试题
- 糖尿病患者应用某些药物时会引起糖尿病酮症
- 下列属于正压通气方式必备的机械功能是(
- 急性心梗患者心电监护示“室颤”,立即抢救
- 肠梗阻伴有严重脱水、代谢性酸中毒、低血钾
- 肠系膜血管栓塞的辅助检查应除外( )
- 男,58岁, 突然出现右侧肢体无力,CT
- 以下有关胺碘酮具有的作用特点,错误的是(
- 1、患者进入急诊后首先进行的治疗措施是A
- 男性患者,60岁。咳嗽、气急、肺部湿性啰
- 机体急性失血量为全身血量多少时可通过代偿
- 下列有关呼吸机治疗的生理学指标,正确的是
- 患者,林某, 以乏力、食欲不振、腹痛腹泻
- 中度有机磷杀虫药中毒血胆碱酯酶活力值
- 血液透析小剂量肝素化法在透析前给予肝素首
- 诊断胸腔积液最敏感的方法为A、胸部X线片
- 1、此时最不可能的并发症是2、此时最可能
- 胃十二指肠溃疡大出血的常见部位是A、胃底
- 多巴胺轻度正性肌力作用和肾血管扩张作用时
- 脑外伤昏迷的患者,首要的处理为A、解除尿
- 樱桃红面容最常见于何种毒物中毒 (