试题详情
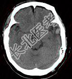
- 单项选择题成年男性,外伤后一小时, CT检查如图,最可能的诊断是 ( )



A、脑挫裂伤
B、脑转移瘤
C、钙化灶
D、脑膜瘤
E、脑出血
关注下方微信公众号,搜题查看答案

热门试题
- 甲型流感病毒划分亚型的依据是A、M蛋白B
- 抢救过敏导致的心脏骤停最重要的治疗方法为
- 癔症的分离型障碍的主要表现包括( )
- 大多数淹溺患者猝死的主要原因为 (
- 1、患者最可能的诊断是2、患者突然心跳停
- 仅用等渗盐水纠正等渗性脱水时,可导致A、
- 解释神经冲动沿神经纤维传导机制的学说是A
- 既是常用的局麻药,又有抗心律失常作用的药
- 以下哪一项不是甲状腺激素的生理作用A、生
- 一氧化碳中毒时以下叙述不正确的是A、应立
- 颅内高压的主要临床表现包括A、前囟紧张或
- 不属于中暑的疾病为A、热晕厥B、热烫伤C
- 连续用药,细菌对药物的敏感性降低甚至消失
- 有关现场急救区,以下说法不正确的是A、急
- 下列属于院前救护任务的有( )A、培
- 肝功能障碍时代谢障碍表现是A、低钾血症B
- 病毒性心肌炎病原学诊断中最具价值的依据是
- 口服杀虫剂敌百虫中毒后,不可用何种洗胃液
- 抢救室必备的急救药品有A、镇静药B、抗生
- 克罗䓬不适用于( )。A、治疗原发性