试题详情
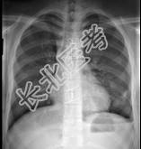
- 单项选择题18岁,男, 被人殴打后胸痛,请结合胸片选出最可能的诊断 ( )


A、血气胸
B、气胸
C、胸腔积液
D、肺气肿
E、肺挫伤
关注下方微信公众号,搜题查看答案

热门试题
- 女性,28岁, 发热2周,有左侧胸痛,
- 女性,24岁。心悸、颜面苍白4年, 并感
- 对预防支气管扩张最具有重要意义的是 (
- 对肥达反应的认识哪项是错误的A、0抗体效
- 下列叙述中,正确的是( )。A、自发
- 男,30岁, 咳嗽咯血,盗汗1个月, 伴
- 肺脓肿的治疗原则是A、止咳、祛痰、解痉、
- 支气管腺癌的特点是A、多见于女性B、与吸
- 常导致病程较短的肺出血-肾炎综合征患者死
- 结核患者在下列何种情况下需加用激素治疗A
- 持续气道正压机械通气的适应证是A、功能残
- 防治肺结核,主要应抓好A、定期普遍预防性
- 呼吸衰竭二氧化碳潴留时,出现下列哪些变化
- 下列白血病和对应的典型染色体改变不正确的
- 支气管哮喘的治疗原则是A、祛除病因B、控
- 弥漫性泛细支气管炎的特征包括A、是影响治
- 患者,女性, 30岁,咳嗽3周, 结核菌
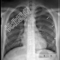
- 男,28岁, 胸闷、右肺呼吸音减弱,请结
- 女性病人,既往有肾炎史, 此次于2天前患
- 下列关于结核性渗出性胸膜炎的肾上腺皮质激