试题详情
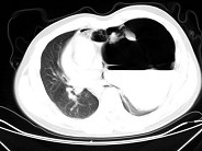
- 单项选择题女,6岁, 胸闷,咳嗽, 胸部CT如图,最可能的诊断为 ( )




A、畸胎瘤
B、右侧液气胸
C、右肺肺大疱
D、右侧脓胸
E、支气管囊肿并感染
关注下方微信公众号,搜题查看答案

热门试题
- 预防造影剂肾病的主要措施是A、水化B、应
- 急性肺栓塞采用的治疗有A、呼吸循环支持B
- 下列哪种药对肺出血-肾炎综合征患者的危及
- 56岁女性,咯血2个月, 支气管镜如图,
- 下列不属于睡眠呼吸暂停综合征夜间临床表现
- 慢性肺心病急性加重期患者应慎重使用的药物
- 下列符合肺嗜酸性粒细胞性肺炎临床表现的是
- 肺性脑病狂躁不安的处理A、必要时可用吗啡
- 哪个部位的急性心肌梗死最易发生房室传导阻
- 患者,女性, 67岁。反复咳、痰、喘20
- 20岁女性,患肺结核3年, 近2个月来闭
- 男性,45岁,慢性咳嗽、咳痰病史近20年
- 急性大面积肺血栓栓塞的主要临床表现是A、
- 男,66岁, 剧烈胸痛,请结合CT图像,
- 根据所提供的图像,选择最可能的诊断 (
- 男性,52岁。慢性咳痰, 时呈黄脓性痰,
- 1、考虑最可能的诊断是2、最合适的治疗应
- 诊断睡眠呼吸暂停综合征的标准是( )
- 1、可能的酸碱失衡诊断为A、代谢性碱中毒
- 气管异物患者呼吸困难的类型属于( )