试题详情
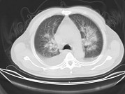
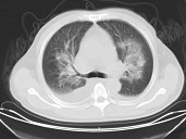
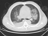
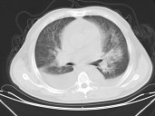
- 单项选择题男,32岁, CT图像如图,最可能的诊断为 ( )




A、肺水肿并双侧胸腔积液
B、周围型肺癌
C、肺动静脉瘘
D、肺错构瘤
E、炎性假瘤
关注下方微信公众号,搜题查看答案

热门试题
- 女性,35岁。因胸闷、气急半年就诊。肺部
- 男,57岁, 体检时发现肺部占位,CT检
- 慢性肺心病患者,发生慢性呼吸衰竭月余,
- 支气管扩张的主要发病因素是A、先天性发育
- 有关肺炎病原体检查,可靠的方法是A、痰培
- 肌电图监测有助于判断REM期睡眠的是A、
- 慢性支气管炎患者进行胸部X线检查的目的是
- 诊断支气管哮喘需要做的检查包括( )
- 估算气胸量时,如果气胸线离胸壁的距离为2
- 组织细胞增多症X线的临床表现与下列因素有
- 引起渗出性胸腔积液的主要发病机制有A、血
- 关于慢性肺心病心衰应用洋地黄治疗的叙述,
- 治疗肺炎球菌炎的首选抗菌素是A、庆大霉素
- 男性,60岁, 既往有慢性支气管炎病史1
- 支气管哮喘的临床分型是A、外源性、内源性
- Churg-Strauss综合征,具有以
- 男性,70岁, 咳嗽2周,咯血丝痰1周,
- 支气管哮喘急性发作伴窦性心动过速时,正确
- 关于慢性呼吸衰竭临床表现,下列哪项正确
- 下列药物中属于β