试题详情
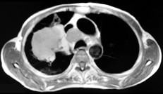
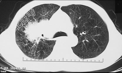
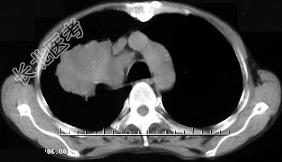
- 单项选择题男,68岁, 右侧胸痛伴右上臂麻木1周,胸部CT、MRI扫描如图, 最可能的诊断为 ( )

A、右上肺硬化性血管瘤
B、右上肺肉瘤并纵隔淋巴转移
C、右上肺不张
D、右上肺中央型肺癌并右上肺不张,纵隔淋巴转移
E、右上肺周围型肺癌并纵隔淋巴转移
关注下方微信公众号,搜题查看答案

热门试题
- 结核性胸膜炎时,糖皮质激素正确的使用方法
- 女性,40岁。因饱食后突发持续性疼痛,
- 男性,20岁。奔跑后出现呼吸困难,喘憋伴
- 1、下列叙述不够准确的是( )。A、
- 男,56岁,反复咳嗽、咳痰伴气促10多年
- 哮喘发作时的并发症,下列哪项最常见A、支
- 男性,45岁,突发胸痛、呼吸困难3小时,
- 最常能听到的胸膜摩擦音的部位是A、前上侧
- 以下哪一项指标是PTE患者的溶栓适应证(
- 以下哪一项不是经鼻持续气道正压治疗阻塞型
- 肺脓肿早期最易与下列哪种疾病混淆 (
- 肺炎球菌肺炎抗生素治疗停药指征是(
- 患者男,28岁,因“咳嗽2个月”就诊,白
- 1、以下有关流行性感冒发病机制的叙述,哪
- 有关ALI/ARDS的临床表现,下列描述
- 男性,65岁。咳嗽、咯血丝痰、气促2周,
- 1、最有可能的诊断是 ( )2、
- 肺心病慢性呼吸衰竭患者,血气分析结果:
- 支气管哮喘持续状态伴酸中毒时,输入碱性溶
- 系统性红斑狼疮最具特征性的皮疹是A、颊部