试题详情
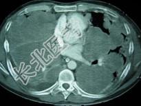
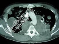
- 单项选择题33岁,男, 咳嗽1周,有骨肉瘤病史, 请结合胸片和CT图,选出最可能的诊断 ( )

A、肺梗死
B、粟粒性肺结核
C、骨肉瘤转移
D、结节病
E、错构瘤
关注下方微信公众号,搜题查看答案

热门试题
- 肺血管内皮分泌的收缩因子是A、内皮素1B
- 肾病综合征并发感染防治正确的是A、必须预
- 对于支气管哮喘有诊断意义的检查是A、肺功
- 1、下列检查中不应作为常规检查的是2、胸
- 有关张力性气胸的说法中错误的是 (
- 下列关于结节病临床表现叙述错误的是A、结
- 特发性肺纤维化的诊断标准包括A、无原因进
- 临床上漏出性胸腔积液的常见病因是A、肺栓
- 男性,43岁。因气喘、呼吸困难6个月,
- 闭合性气胸的排气治疗,下列哪项正确A、积
- COPD病理生理改变标志是A、吸气气流受
- 支气管扩张合并咯血,宜选用A、支气管扩张
- 男性,51岁。因慢性咳嗽、进行性气急5-
- 出入肺门的结构包括( )。A、主支气
- 治疗结核性心包炎中哪项措施是错误的 (
- 结节病最常侵犯的脏器是A、皮肤B、眼C、
- 气体扩散速率的影响因素包括( )。A
- 特发性肺纤维化肺功能测定中,不合理的是A
- 大量胸腔积液X线胸片典型表现 (
- 下列哪一项不是睡眠呼吸暂停综合征夜间常见