试题详情
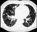
- 单项选择题.女,72岁, 咳嗽,胸闷, 呼吸困难1月余,1年前行结肠癌根治术, CT检查如图,请选择最可能的诊断 ( )


A、肺癌
B、肺转移瘤
C、尘肺
D、间质性肺炎
E、粟粒型肺结核
关注下方微信公众号,搜题查看答案

热门试题
- 临床研究顶层设计包括A、提出临床问题,将
- 阻塞性通气功能障碍的特点有哪些A、VC正
- 支气管肺组织的感染和阻塞所致的支气管扩张
- 下列哪些药物可诱发支气管哮喘的发作A、阿
- 下列符合肺嗜酸性粒细胞性肺炎临床表现的是
- 1、为确诊肺结核,还需具备下列哪项主要特
- 可引起COPD急性加重的因素有A、吸烟B
- 男性,64岁, 有吸烟史,刺激性咳嗽、咳
- 男,27岁,受凉后突起高热、胸痛1周,少
- 1、最可能的诊断是2、最需要做的实验室检
- 介入肺病学的常用技术包括 ( )
- 一男性,66岁。慢性咳嗽20余年,近5年
- 1、下列诊断哪项可能性最大 (
- 关于各种影像学检查的临床应用,错误的是A
- 下列哪些选项是阻塞性肺气肿气肿型的特点A
- 有关慢性阻塞性肺疾病的定义正确的说法是A
- 有关张力性气胸的说法中错误的是 (
- 1、该患者出现肺源性心脏病最可能的病因是
- 80%以上的DPB患者合并有A、呼吸衰竭
- 男性,35岁。反复发热、咳嗽、咳痰、咯血