试题详情
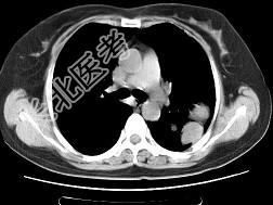
- 单项选择题女,52岁, 左侧背痛1月,胸部CT如图, 最可能的诊断为 ( )


A、左肺中央型肺癌
B、左肺周围型肺癌
C、左肺感染
D、左肺炎性假瘤
E、肺隔离征
关注下方微信公众号,搜题查看答案

热门试题
- 患者胸痛胸闷,CT如图, 最可能的诊断为
- 1、查体最可能出现的异常体征为 (
- 室性期前收缩次数为哪项可以诊断为"频发性
- 关于慢性肺心病心衰应用洋地黄治疗的叙述,
- 肺栓塞的抗凝治疗,错误的是A、可以直接使
- 肺性脑病狂躁不安的处理A、必要时可用吗啡
- 1、以下需要经患者知情同意的检查是(
- 确诊支原体肺炎最常用的检测方法是A、血清
- 压力支持通气的特点有A、是自主性通气模式
- 男性,42岁。因车祸致肝脾破裂和右股骨骨
- 社区获得性肺炎主要病原菌为A、革兰阴性菌
- 女,50岁, 右下肺脓肿,内科积极治疗4
- 下列哪一项措施可以预防气胸复发 (
- 不符合特发性血小板减少性紫癜实验室检查的
- 有慢性咳嗽史,查体有肺气肿体征的病人,
- 女性,55岁。60kg, 慢性肾功能不全
- 患者,男性, 27岁。胸闷伴胸痛。胸片如
- 1、病变初期最可能的诊断为2、随着病情发
- 女,36岁, 咳嗽,咳痰, 咯血,反复发
- 依据病理过程,HAP/VAP的病理学分级