试题详情
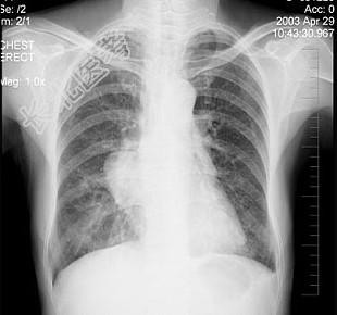
- 单项选择题女性,57岁, 因胸痛,咳嗽1个月就诊, 不发热,咳白色痰, 无痰中带血,X线检查见图, 最可能的诊断是 ( )


A、右侧肺不张
B、右肺炎症
C、纵隔肿瘤
D、右肺肿瘤
E、间质性肺疾病
关注下方微信公众号,搜题查看答案

热门试题
- 肺血栓栓塞症肺组织继发的胸部X线改变有A
- 终止心室颤动最有效的方法是A、胺碘酮B、
- 患者,女性, 30岁。溺水后出现呼吸困难
- 可引起呼吸困难的中毒包括A、大量食用苦杏
- 下列符合肺纤维化肺功能表现的是( )
- 诊断肺炎球菌肺炎下列哪一项价值大A、白细
- 1、最可能的致病菌是A、支原体为主B、病
- 诊断结核性脑膜炎最可靠的依据是A、结核中
- 男性,62岁。吸烟史40余年, 近10年
- 男,35岁,肺功能检查发现第1秒时间肺活
- 哮喘治疗中起“节约类固醇”作用的药物是
- 女,28岁, 午后低热1周伴干咳、左胸痛
- 支气管扩张症合并感染的常见病原体不包括A
- 女性患者,31岁, 咳嗽发热1周,胸片检
- 男性,47岁。患肺血栓栓塞症2天,血压1
- 结核菌素试验的广泛应用意义在于( )
- 女性,58岁。刺激性咳嗽, 痰血,左侧胸
- 关于结核病变的转归,不正确的是A、吸收B
- 关于呼吸机治疗目的下列哪一项不正确 (
- 男性,45岁。上腹部隐痛6个月, 1天前