试题详情
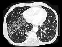
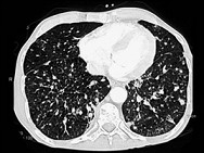
- 单项选择题女,56岁, 乳腺癌手术后,未行化疗, 结合CT图像,选择最可能的诊断是 ( )


A、肺转移癌
B、肺结核
C、间质性肺炎
D、肺结节病
E、肺曲菌病
关注下方微信公众号,搜题查看答案

热门试题
- 肺气肿患者肺功能检查常提示有A、阻塞性通
- 通气/血流比值的正常值为( )。A、
- 有关肺动脉高压,正确的是A、HIV感染者
- 1、应考虑诊断为( )。A、小叶性肺
- 漏出性胸腔积液的特点有A、清澈透亮B、比
- 有关血行播散型肺结核正确的是A、目前仅有
- 下列哪项可作为血行播散型肺结核确诊依据
- 1、下列处理不正确的是2、患者出现躁动时
- 缺氧发生在二氧化碳潴留之前,是因为A、O
- 慢性肾功能不全的贫血,下列哪种治疗方法是
- CTD-ILD诊断的金标准是A、X线胸片
- 防治肺结核,主要应抓好A、定期普遍预防性
- 肺梗死症状三联征是A、呼吸困难B、胸痛C
- 60岁,男, 有长期抽烟史,左声带麻痹、
- 评价小气道功能的指标是A、FEV
- 为了排除梗阻因素所致的尿路感染,首选下列
- 关于阻塞性肺气肿,下列叙述不正确的是(
- 慢性Ⅱ型呼吸衰竭患者最适宜的氧疗方法是下
- 1、对该患者最应做的检查是 (
- 关于PPD皮试,下列哪项错误A、于前臂掌