试题详情
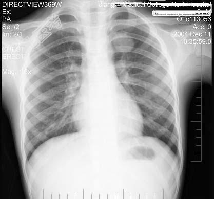
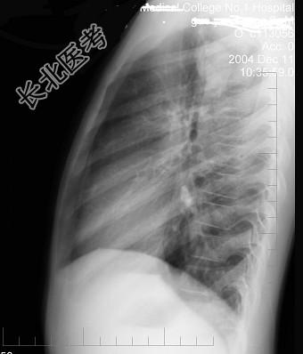
- 单项选择题男性,9岁, 常年咳嗽,无其他自觉症状, X线检查如图所示,最可能的诊断是 ( )


A、结核瘤
B、原发性肺癌
C、炎性假瘤
D、纵隔肿瘤
E、支气管扩张
关注下方微信公众号,搜题查看答案

热门试题
- 以下关于ARDS的临床特点及实验室检查,
- 开放性气胸患者出现呼吸困难最主要的急救措
- 下列关于氧疗正确的是A、应用抗生素预防交
- 阻塞部位在肺动脉近端的慢性血栓性栓塞肺动
- 关于急性上呼吸道感染的描述,下列不正确的
- X线胸片示有空洞形成,同侧或对侧肺野有斑
- 以下属于睡眠呼吸暂停低通气综合征白天的临
- 关于支气管哮喘发作时检查的表现,叙述正确
- 男性,31岁。几天前曾患“感冒”, 畏寒
- 男性,79岁。因剧烈心前区疼痛6小时不缓
- 女,65岁, 慢性呼衰患者。查:体温38
- 评价气流受限的敏感指标是( )。A、
- 以下对纵隔的描述不正确的是A、在胸腔内,
- 严重缺氧时可发生A、颅内压增高B、心肌坏
- 可产生漏出性胸腔积液的是A、营养不良,低
- 病人男性,75岁。诊断为慢性呼吸衰竭,表
- 关于慢性肺心病病因、病理的叙述,错误的是
- 药物可导致的肺部变化有A、间质性肺炎B、
- 引起支气管哮喘发作,释放生物活性物质的细
- 慢性支气管炎晚期出现肺源性心脏病时,X线