试题详情
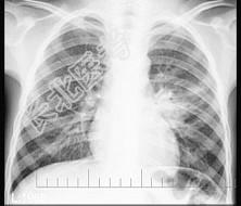
- 单项选择题3岁男孩,咳嗽、低热2周, 不咯血、咳痰,X线检查如图, 最可能的诊断是 ( )

A、左肺炎症
B、左肺结核(Ⅰ型)
C、左肺结核(Ⅱ型)
D、左肺结核(Ⅲ型)
E、左肺癌
关注下方微信公众号,搜题查看答案

热门试题
- 对气管软骨环的描述,正确的是A、为完整的
- 女,35岁, 严重哮喘已1日,张口呼吸,
- 1、该患者最可能的诊断是2、如上述诊断成
- 呼吸衰竭可以出现A、呼吸性酸中毒+代谢性
- 1、下述检查中对确诊最有意义的是(
- 胃溃疡常见的部位为A、胃角和胃窦小弯侧B
- 下列哪一项检查对诊断乳糜胸无意义 (
- 关于气胸的治疗方法,哪项是错误的A、气胸
- 非甾体抗炎药最常见的不良反应是A、胃肠道
- 对肺门的描述,正确的是A、位于肺的肋面B
- 男性,55岁, 刺激性咳嗽3周,呈高调金
- 原发性肺动脉高压出现胸痛的原因是(
- 淋巴管肌瘤病引起的肺功能障碍有A、吸气功
- HAP最重要或最常见来源和途径是A、(气
- 影像学导引的经皮穿刺活检术,主要禁忌证不
- 男,3岁, 活动气喘,查体压头颅骨有乒乓
- 男,35岁, 外伤后已进行了截肢术,手术
- 睡眠呼吸暂停低通气综合征是指每晚睡眠(7
- 1、该患者最可能的诊断是( )。A、
- 引起大叶肺炎病人缺氧的原因主要是A、限制