试题详情
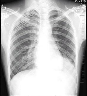
- 单项选择题男性患者,19岁, 咳嗽、发热1周,X线检查如图, 最可能的诊断是 ( )

A、左下肺不张
B、左侧胸膜肥厚
C、左下肺炎症
D、左侧胸腔积液
E、左下支气管扩张
关注下方微信公众号,搜题查看答案

热门试题
- 高亢的干咳伴有呼吸困难,可能是A、支气管
- 1、结核病空洞的特征应是2、肺结核空洞与
- 女性,74岁。因关节炎关节酸痛, 口服水
- 1、最可能的诊断是A、支气管哮喘B、CO
- 1、最可能的诊断为( )。A、结节病
- 急性上呼吸道感染需与下列哪些疾病早期相鉴
- 特发性肺纤维化肺功能测定表现是( )
- 支气管哮喘发作时,听诊两肺有普遍性哮鸣音
- 结核病患者治疗时使用糖皮质激素的指征应除
- 最常能听到的胸膜摩擦音的部位是A、前上侧
- 慢性阻塞性肺气肿的肺功能检查结果,应是A
- 下面对预防慢性支气管炎有效的是A、戒烟B
- 下列哪种细菌性肺炎一般不出现肺脓肿改变A
- 患儿,男性, 7岁。胸闷,气急。查体见颈
- 肝硬化治疗原则哪项不对A、休息B、高热量
- 重度哮喘的处理是A、补液B、吸氧C、氨茶
- 慢性肺源性心脏病急性加重期,禁忌的药物是
- 男性,46岁,饮酒后出现发热,体温39.
- 关于慢性支气管炎的诊断必备条件是下列哪些
- 支气管哮喘持续状态伴酸中毒时,输入碱性溶