试题详情
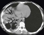
- 单项选择题女,24岁, 咳嗽咳痰伴高热3天,如图所示, 最可能的诊断为 ( )

A、右下肺干酪性肺炎
B、右下肺大叶性肺炎
C、右中肺大叶性肺炎
D、右中叶肺脓肿
E、右下肺不张
关注下方微信公众号,搜题查看答案

热门试题
- 女性,23岁, 发现颈部肿物2个月,同时
- 有关ALI/ARDS的临床表现,下列描述
- 阻塞性肺气肿可出现下列哪些病理生理改变A
- 严重充血性心力衰竭患者的胸腔积液最可能显
- 张力性气胸时,胸膜腔内的压力通常为A、&
- 60岁男性,咳嗽半个月, 支气管镜见右肺
- 肺血栓栓塞症抗凝治疗药物不包括A、肝素B
- 男性,61岁,吸烟40余年,慢性咳嗽、咳
- 女性,35岁。因胸闷、气急半年就诊。肺部
- 关于慢性肺心病的肺、心功能失代偿期的体征
- 肺结核空洞、肺癌空洞和肺脓肿空洞的鉴别,
- 男性,53岁。因慢性咳喘30余年。晨起排
- 下列行为对改善睡眠呼吸暂停综合征无效的是
- 引起儿童黄疸型肝炎最常见的病原为A、甲型
- 1、该患者最可能的诊断是2、为进一步明确
- 1、为确定诊断应做下列哪项检查2、该患者
- 男性,48岁。因寒战、高热、右侧胸痛,
- 男30岁,咳嗽3个月,偶有咳痰带血,乏力
- 男,66岁, 剧烈胸痛,请结合CT图像,
- 下列关于气胸治疗叙述错误的是A、气胸治疗