试题详情
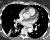
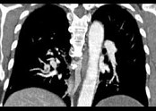
- 单项选择题男,56岁, 食管癌术后,胸痛, 呼吸困难,结合CT图像, 最可能的诊断是 ( )



A、食管癌肺转移
B、肺栓塞
C、支气管扩张
D、肺水肿
E、肺不张
关注下方微信公众号,搜题查看答案

热门试题
- 女性,56岁, 患类风湿关节炎合并肺间质
- 患者男,50岁,刺激性咳嗽2个月,伴胸痛
- 阻塞性肺气肿可出现下列哪些病理生理改变A
- 漏出性胸腔积液的特点有A、清澈透亮B、比
- 骨髓和外周血中性分叶核粒细胞的碱性磷酸酶
- 47岁男性,咳嗽、胸痛、痰中带血、消瘦4
- 治疗急性肺脓肿的首选抗菌药物是 (
- 1、以下检查结果可能与诊断不符的是 (
- 14岁,男, 胸闷咳嗽1个月,曾咳出过毛
- 淋巴管肌瘤病常用的治疗方法包括A、抗雌激
- 1、该患者诊断应首先考虑2、应立即做哪项
- 男性患者,52岁, 体检胸片如图,最明确
- 老年患者突然发生寒战、高热、咳嗽、咳痰、
- 1、考虑患者为肺癌,其TNM分期下为2、
- 男性,44岁,1周前上感伴咳嗽,3小时前
- 患者男性,36岁, 哮喘急性发作1天,口
- 有关血行播散型肺结核正确的是A、目前仅有
- 男性,68岁。糖尿病患者,突发高热、寒战
- 女性,23岁, 哮喘急性发作1周,2小时
- 关于胸腔漏出液的叙述,正确的是( )