试题详情
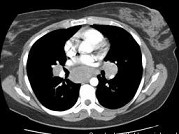
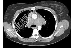
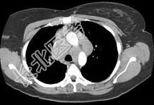
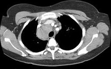
- 单项选择题女,33岁, 咳嗽,乏力, 低热,皮肤有结节, 结合CT图像,最可能的诊断是 ( )

A、肺结核
B、霍奇金病
C、非霍奇金病
D、结节病
E、肺癌
关注下方微信公众号,搜题查看答案

热门试题
- 最好发于吸烟者的肺部恶性肿瘤是A、类癌B
- 慢性呼吸衰竭患者,神志欠清, 呼吸浅促,
- 过敏性肺炎区别于支气管哮喘最主要是 (
- 对诊断肺段以上肺动脉内血栓敏感性和特异性
- 60岁,男, 有长期抽烟史,左声带麻痹、
- 支气管哮喘发作时,气道阻力增加是由于A、
- 男性,69岁。有慢性咳、痰、喘病史30余
- 男性,46岁。常感胃灼热, 解黑便,HG
- 结节病最有特征的影像学改变是 (
- 慢性肺心病患者,经抗生素解痉平喘治疗,
- 关于肺炎致病菌,下列说法错误的是A、医院
- 急性血行播散型肺结核的特点是A、高热起病
- 关于结核性胸膜炎,下列哪些说法是错误的
- 下列哪两种细胞类型是支气管癌最常见的细胞
- 1、可能的诊断是2、入院后2日,突发呼吸
- 通气/血流比值的正常值为( )。A、
- 1、本患者可诊断为A、1型糖尿病B、肾性
- 关于肾病综合征并发蛋白质及脂肪代谢紊乱的
- 1、诊断应为( )。A、支气管哮喘、
- COPD的危险人群是A、长期重度吸烟B、