试题详情
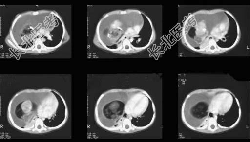
- 单项选择题12岁,女, 咳嗽、咯血1个月,咳出毛发、钙化物, 请结合图片,选择最可能的诊断 ( )

A、肺间质纤维化
B、肺曲菌病
C、肺结核
D、畸胎瘤
E、肺癌
关注下方微信公众号,搜题查看答案

热门试题
- 下列哪些病理过程可引起纵隔炎A、咽后脓肿
- 可引起COPD急性加重的因素有A、吸烟B
- 男性,21岁,诊断为肺结核1个月,对利福
- 男性,70岁,有慢性阻塞性肺疾病史。咳嗽
- 1、病变初期最可能的诊断为2、随着病情发
- 男性,68岁, 高热三天伴咳嗽胸痛,多量
- 下列哪项心律失常处理时可应用兴奋迷走神经
- 结核菌素试验呈阳性反应提示A、3岁以下小
- 语音震颤增强见于A、阻塞性肺不张B、胸膜
- 1、应首选的治疗方法是2、若采用无创正压
- 继发性肺结核不同于原发型肺结核的特点是A
- 关于典型肺炎链球菌肺炎体征,下列叙述正确
- 女性,40岁, 有机磷中毒后出现呼吸窘迫
- 1、最可能的诊断是A、细菌性肺炎B、病毒
- 女性,22岁。高热1周, 伴右侧胸痛就诊
- 哮喘治疗中起“节约类固醇”作用的药物是
- 下列哪项可以作为诊断支气管哮喘的依据A、
- 对耐药结核病复合制剂的治疗应主要选择A、
- 肺结核化疗的效果,主要表现在A、痰菌阴转
- PTE放射性核素肺通气/灌注扫描典型的征