试题详情
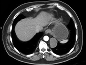
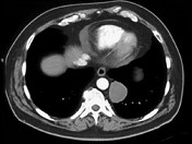
- 单项选择题男,33岁, 背部不适,无发热, 结合CT图像,选择最可能的诊断是 ( )

A、椎旁脓肿
B、神经源性肿瘤
C、脑脊膜膨出
D、食管囊肿
E、淋巴瘤
关注下方微信公众号,搜题查看答案

热门试题
- 男性,42岁。因车祸致肝脾破裂和右股骨骨
- 下述关于使用支气管扩张剂缓解症状和增加运
- 慢性肺心病急性加重期患者应慎重使用的药物
- 肺间质纤维化患者初期动脉血气主要表现是A
- 支气管哮喘的肺功能特点,不正确的是A、F
- 男性患者,64岁, 咳嗽高热多日,无痰中
- 女性,30岁, 突起高热,胸痛, 咳铁锈
- 继发型肺结核的病变特点是( )。A、
- 某慢性肺心病呼吸衰竭患者,动脉血气分析:
- 女,68岁, 咳嗽伴胸痛胸闷1个月,CT
- 女性,30岁。Graves病患者, 抗甲
- 男性,22岁,突发右胸痛、呼吸困难2小时
- 下列哪一种疾病不属于中性粒细胞型肺泡炎
- 嗜酸性粒细胞性肺炎(PIE)临床主要分类
- 一肺炎合并休克患者,治疗后血压96/66
- 男性,57岁, 咳嗽、痰中带血、气促、颜
- 根据肺动脉平均压(PAPm)将肺动脉高压
- 克雷白杆菌肺炎治疗时首选哪种药物为佳A、
- 男,42岁, 肝区痛1月余,最近2周咯血
- 1、最可能的诊断是 ( )2、在