试题详情
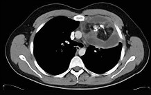
- 单项选择题20岁,男, 左胸痛伴压迫感,咳嗽1个月, 请结合CT,检查选出最可能的诊断 ( )

A、胸腺瘤
B、纵隔血肿
C、畸胎瘤
D、脂肪瘤
E、淋巴瘤
关注下方微信公众号,搜题查看答案

热门试题
- 男性,16岁, 学生。干咳3d,伴发热3
- 1、该患者入院时可能的并发症是2、患者在
- 1、该患者嗜睡最可能的原因是( )。
- 社区获得性肺炎主要病原菌为A、革兰阴性菌
- 男,42岁, 有哮喘病史,本次哮喘发作已
- 有关张力性气胸的病理改变,下列叙述正确的
- 如何区别肺炎与上呼吸道感染A、胸部X线片
- 女性,24岁。临床诊断1型糖尿病, 予胰
- 下列不是Horner综合征特征性表现的是
- 1、此患者最需进行鉴别的疾病是A、慢性支
- 1、最可能的诊断是2、对该患者可采取的进
- 男性,40岁。确诊支气管扩张症20余年,
- 肺脓肿空洞、结核性空洞、癌性空洞确诊最主
- 控制哮喘气道高反应性最有效的药物是A、抗
- 男性,70岁,有慢性阻塞性肺疾病史。咳嗽
- 患者女,65岁。8周前"感冒"后持续低热
- 下面哪种情况不引起紫绀A、红细胞增多症B
- 用来进行睡眠分期的是A、脑电图B、眼电图
- 肺心病心力衰竭时用强心剂的原则是(
- 1、患者最可能的诊断为A、肺门淋巴结结核