试题详情
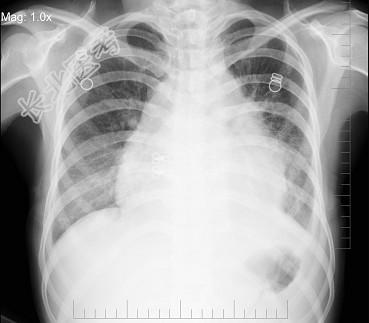
- 单项选择题女,24岁, 干咳1个月出现胸闷气急,活动时明显, 查体颈静脉显露,胸片如图, 最可能的诊断为 ( )


A、先天性房间隔缺损
B、心包积液
C、室间隔缺损
D、扩张性心肌病
E、法洛氏四联征
关注下方微信公众号,搜题查看答案

热门试题
- 诊断肺脓肿的辅助检查比较有实用价值的是A
- 关于结核免疫正确的是A、结核病的免疫主要
- 成人糖尿病酮症酸中毒胰岛素治疗采用A、每
- 女性,55岁。糖尿病病史15年。血糖一直
- 男性,16岁, 学生。干咳3d,伴发热3
- 1、最可能的诊断是2、需明确诊断应采用何
- 慢性呼吸衰竭失代偿期,给氧的原则是A、O
- 肺活检或支气管肺泡灌洗液过碘酸雪夫(PA
- 1、病史中应特别注意询问2、确诊最有价值
- 对于卡氏肺孢子菌肺炎,下列叙述正确的是(
- 动脉血气分析pH7.47,PaCO
- ARDS与心源性肺水肿主要鉴别是 (
- 女性,60岁。确诊类风湿关节炎20余年,
- 同时对两种哮喘过敏源产生反应支气管哮喘分
- Pancoast瘤引起的Horner综合
- 关于肺栓塞(PE)分型及治疗叙述错误的是
- 男性,35岁。患哮喘近20年, 严重影响
- 男性,23岁。因受凉后突起高热, 右侧胸
- 肺心病心力衰竭时用强心剂的原则是(
- 下列哪项不是重症胰腺炎的体征A、上腹或全