试题详情
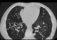
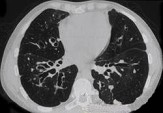
- 单项选择题男,18岁, 咳嗽,咳痰, 咯血半月余,CT如图.选出最可能的诊断 ( )

A、过敏性肺炎
B、支气管扩张
C、原发性肺结核
D、大叶性肺炎
E、肺癌
关注下方微信公众号,搜题查看答案

热门试题
- 下面关于CURB-65评分的内容,哪项不
- 女性,27岁。突然大咯血, 已妊娠5个月
- 从病理生理方面来看,睡眠呼吸暂停综合征发
- 下列哪些是肺癌诊断的可疑线索 (
- 患者,男性,22岁,平素体健,3天前游泳
- 阻塞性肺气肿后期的病理及病理生理改变是A
- 男性,53岁, 确诊肺结核4个月,经异烟
- 应用利福平治疗结核性胸腔积液,最易出现的
- 男性,57岁,反复咳嗽、咳痰15年伴活动
- 心源性呼吸困难可出现的临床表现包括A、端
- 在诊断呼吸衰竭时,血气分析各项指标中最重
- 关于鳞状上皮癌,下列哪项不正确A、老年女
- 以下属于肺结核并发症的是( )。A、
- 60岁男性患者因咳喘多年,症状加重3天入
- 慢性肺源性心脏病急性加重期治疗的关键包括
- 关于支气管哮喘发作的临床表现,下列哪项不
- 男性,52岁。进行性胸闷、气促、咳嗽5年
- 慢性肺源性心脏病肺、心功能失代偿期使用利
- 下列不是初治肺结核的是( )。A、初
- 关于肺心病呼吸衰竭的合理氧疗,下列哪项是