试题详情
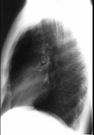
- 单项选择题在哮喘急性发作的病程中患者出现颈部皮下气肿,胸片见图。说明此患者有下列哪一种并发症存在 ( )


A、气胸
B、纵隔气肿
C、间质性肺气肿
D、肺囊肿
E、肺大疱
关注下方微信公众号,搜题查看答案

热门试题
- 以下初筛检查结果符合非结核分枝杆菌肺病的
- 男性,68岁。反复咳嗽、咳痰20余年,
- 男,58岁, 有高血压病史,突发胸背剧痛
- 下列哪种抗结核药物可通过血-脑脊液屏障A
- 1、血气结果符合( )。A、Ⅰ型呼吸
- 洋地黄中毒多见的心律失常是A、室上性心动
- 继发性肺结核不同于原发型肺结核的特点是A
- 用于判定存在OSA的监测指标是A、脑电图
- COPD包括A、慢支,肺气肿,肺不张B、
- 有关肺脓肿的治疗,下述哪项错误 (
- 下列哪些病理情况可使胸腔积液增加A、胸膜
- 下列哪一项不是Cushing综合征患者下
- 参与机体酸碱平衡调节的有( )。A、
- 支原体肺炎A、常伴有头痛B、易在冬季发生
- 下列哪项引起右室压力负荷过重A、三尖瓣关
- 右肺下叶背段肺脓肿应采取下列哪种体位引流
- 肺血栓栓塞导致呼吸功能不全,出现低氧血症
- 男性,62岁。因骨关节疼痛2个月就诊。X
- 以下属于肺结核并发症的是( )。A、
- 混合性呼吸困难可见于A、肺栓塞B、支气管