试题详情
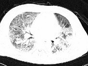
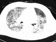
单项选择题男性,42岁, 近2年来无明显诱因反复出现咳嗽,痰少, 活动后气促,无发热, 无胸痛,无咯血, 心电图及心脏彩超未见异常,肺功能FEV1.901, FVC2.001,DLco下降, 支气管激发试验阴性。胸部CT见图,该患者最有可能是下列哪一种疾病 ( )

A、支气管哮喘

B、慢性阻塞性肺疾病

C、支气管扩张

D、支气管肺癌

E、特发性间质性肺炎

  • 关注下方微信公众号,搜题查看答案

热门试题