试题详情
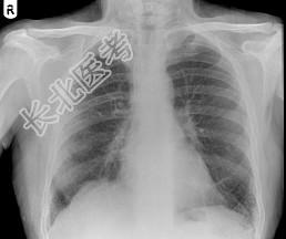
- 单项选择题62岁,男, 铸铁工,咳嗽、呼吸急促1个月, 请结合胸片,选出最可能的诊断 ( )

A、粟粒性肺结核
B、肺结节病
C、尘肺
D、肺炎
E、肺淤血
关注下方微信公众号,搜题查看答案

热门试题
- SARS在治疗中应注意哪些事项A、给予足
- 女性,32岁。妊娠7个月, 既往月经量过
- 多糖荚膜对组织的侵袭作用源于哪种病原体A
- 社区获得性肺炎最常见的病原体包括(
- 女性,45岁。确诊为继发型肺结核, 最重
- 关于支气管激发试验安全性,描述错误的是A
- 1、该患者最可能诊断是2、该患者止血首选
- 男性,30岁。患右上肺结核已5年, 不规
- 1、可能的诊断为( )。A、内源性哮
- 患者女性,28岁。1周来高热, 右侧胸痛
- 男性,60岁。20年前患右上肺结核治愈。
- 结核性心包炎治疗中应用激素,其作用不包括
- TBNA的适应证包括A、纵隔和肺门淋巴结
- 慢性肺心病心衰时,以下哪项是右心扩大的体
- 重症支气管哮喘发作伴酸中毒时,疗效最容易
- 男性,62岁。咳嗽、咳痰3个月,左胸痛2
- 男性,73岁,有吸烟史,5年前发现右上肺
- 特发性气胸的发病机制是A、机械通气B、胸
- 哪种心脏瓣膜病在直立、运动中易引起晕厥A
- 女性,19岁。低热, 咳嗽一个月。查体: