试题详情
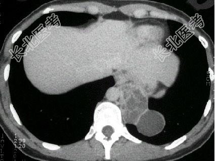
- 单项选择题男,18岁, 无明显症状, CT检查如图。最可能的诊断为 ( )


A、左下肺膈疝
B、左下肺肺隔离症
C、左下肺癌
D、神经纤维瘤
E、左下肺肺炎
关注下方微信公众号,搜题查看答案

热门试题
- 胸腔积液体征包括( )。A、肺下界降
- 下面对预防慢性支气管炎有效的是A、戒烟B
- ICH肺部浸润,诊断时需要加以鉴别的常见
- 葡萄球菌肺炎,胸部X线显示肺段或肺叶实变
- 78岁男性,消瘦乏力、呼吸困难4月, 支
- 肺炎球菌的主要致病作用在于A、产生毒素B
- Ⅳ级(极重度)慢性阻塞性肺疾病的标准是A
- 1、患者初步诊断是2、针对鉴别诊断,急需
- 下列白血病和对应的典型染色体改变不正确的
- 1、诊断首先考虑2、对该患者PPD实验结
- 结核菌素试验的描述正确的是A、结果阴性可
- 在病情告知过程中要特别注意特殊患者,不属
- 贫血与甲亢对心脏产生的影响使A、左室压力
- 下列哪项引起右室压力负荷过重A、三尖瓣关
- 1、该患者可能的诊断为( )。A、慢
- 有关吸入性肺脓肿的发病部位,下列叙述正确
- 女性,25岁。活动后心悸, 气促4年,偶
- 降压作用明显,对血糖、血脂代谢无不良影响
- 支气管扩张痰量与下列哪个因素有关(
- 有关气胸合并纵隔气肿的说法中错误的是