试题详情
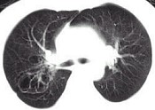
- 单项选择题女,23岁, 咳嗽咳痰反复发作,根据CT图像, 应考虑为 ( )



A、支气管扩张并感染
B、多发肺气囊肿
C、多发性肺囊肿并感染
D、多发性肺脓肿
E、大叶性肺炎
关注下方微信公众号,搜题查看答案

热门试题
- 女,39岁, 咳嗽伴轻微胸痛,CT检查如
- 女性,20岁。以鼻出血及皮肤紫癜就诊。血
- 女,55岁, 胸痛伴咯血丝痰1周,胸部C
- 1、患者意识障碍最可能的原因是出现(
- 肺癌合并胸腔积液可能是因为伴有A、阻塞性
- ARDS是老年患者中常见的呼吸系统综合征
- 肺性脑病与高血压脑病鉴别的主要依据是A、
- 肺炎球菌肺炎合并感染性休克时的治疗措施错
- 变应性肺炎支气管肺泡灌洗液的特点是A、以
- 78岁男性,胸片见右下叶块影, 支气管镜
- 结核菌素试验呈阳性反应提示A、3岁以下小
- 支气管哮喘临床表现不典型,需进一步检查以
- 慢性肺心病引起肺动脉高压最主要的原因是A
- 以下哪一项指标是PTE患者的溶栓适应证(
- 患者男,24岁。“感冒”后持续咳嗽2个月
- 下述何种病的肺功能主要表现为限制性通气功
- 关于支气管哮喘,叙述正确的是( )。
- CTD-ILD的病理类型可分为A、寻常型
- 男性,70岁。因呼吸困难、双下肢水肿、尿
- 男性,69岁。因胸闷、气急2周就诊。检查