试题详情
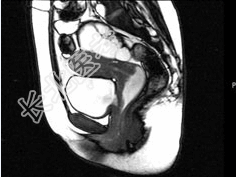
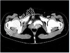
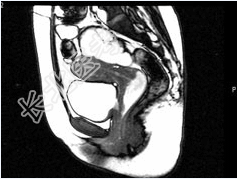
- 多项选择题女,28岁, 阴道有异常液体流下,CT和MRI扫描如图, 以下诊断正确的是( )

A、MRI的T2加权像示宫颈阴道内有大片状高信号影
B、CT增强示造影剂由膀胱进入阴道
C、膀胱后下缘可见鸟嘴状突起
D、考虑为膀胱阴道瘘
E、考虑为左侧输尿管异位开口
关注下方微信公众号,搜题查看答案

热门试题
- 可以通过直接作用或过敏引起肝脏损害的常用
- 1、其诊断应该考虑A、均小骨盆B、正常骨
- 以下哪项不是胎盘早剥的典型表现A、血性羊
- 以下关于子宫腺肌病概念说法错误的是A、与
- 关于排卵机制的叙述,以下哪些是正确的A、
- 围绝经期指的是A、绝经过渡期至最后一次月
- 产后2小时内应该观察A、阴道流血情况B、
- 妊娠合并急性肾盂肾炎患者,为达到对尿路冲
- 以下符合外阴慢性单纯性苔藓病理改变的是A
- 有关儿童期,以下描述哪些是不正确的A、子
- 关于人工流产综合反应,下列哪些正确(
- 1、为了明确诊断,该患者首先应做哪些检查
- 关于慢性宫颈炎物理疗法治疗,下列正确的是
- 人工破膜操作错误的是A、注意破膜前后胎心
- 1、以下处理最重要的是2、若此时胎心持续
- 1、应考虑的诊断是2、对该患者的治疗方案
- 关于女性性功能及性功能障碍,下列哪些论述
- 妊娠期糖尿病应用胰岛素治疗,正确的表述是
- 由一个处于减数分裂双线期的初级卵母细胞及
- 妊娠期急性阑尾炎可出现的症状包括(