试题详情
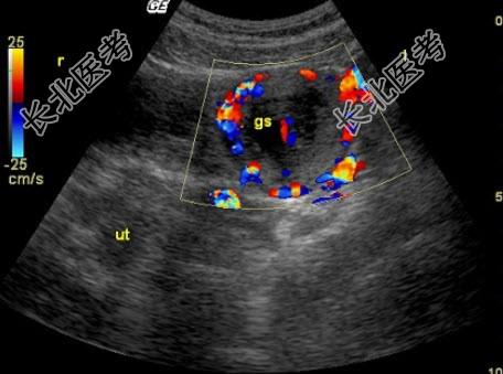
- 单项选择题女性,22岁, 停经40天,尿HCG阳性。超声检查见图, 最可能诊断为( )

A、炎性包块
B、黄体囊肿
C、正常声像图
D、宫外孕
E、畸胎瘤
关注下方微信公众号,搜题查看答案

热门试题
- 治疗子宫内膜异位症,切除子宫保留卵巢功能
- 异常子宫出血患者用性激素止血,理想的效果
- 女性患者,45岁。月经紊乱3年, 既往体
- 关于淋病引起新生儿感染的叙述,不正确的是
- 1、第一胎儿娩出后,哪项处理是错误的A、
- 以下哪项不是妇女保健工作的目的( )
- 关于人绒毛膜促性腺激素(hCG)不正确的
- 预防妊娠合并肺结核与以下哪项无关A、活动
- 关于子宫肌瘤对分娩的影响,以下叙述正确的
- 38岁孕妇,G2P1, 38周妊娠,无产
- 1、该病人首先考虑并发了哪种疾病(
- 1、以下检查除哪项外可考虑无排卵性异常子
- 女性患者,28岁, 新婚3天,性生活困难
- 妊娠期急性胆囊炎和胆石症更常见于妊娠哪个
- 羊水栓塞的核心问题是A、心肺功能衰竭B、
- 结扎输卵管常在哪个部位进行A、输卵管子宫
- 子宫内膜癌ⅠaG12期无生育要求首选的治
- 26岁初产妇,妊娠40周, 来院时规律宫
- 以下的宫内节育器除避孕外,哪种还具有减少
- 以下哪项不是无排卵性异常子宫出血的特点A