试题详情
- [材料题] 男,14岁,咳嗽,咯铁锈色痰,胸闷,胸痛3天,化验室检查:WBC=1.3×109,ESR=18mm/h。
- 多项选择题1.你认为患者应进行哪些检查
A、X线平片
B、CT
C、MRI
D、US
E、ECT
F、EEG
关注下方微信公众号,搜题查看答案

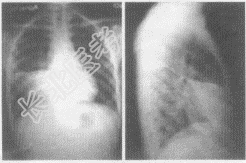
- 多项选择题2.患者行胸片正侧位检查,胸片图像表现如下, 你认为该患者应首先考虑哪些疾病

A、右肺中叶大叶性肺炎
B、右肺中叶肺癌
C、右肺中叶支气管扩张
D、右肺中叶结核
E、右肺中叶腺瘤
F、右肺中叶脓胸
关注下方微信公众号,搜题查看答案

- 多项选择题3.诊断该病的依据有哪些?
A、患者,14岁,年龄较小
B、咳嗽,咯铁锈色痰
C、化验室检查:WBC=1.3×109,ESR=18mm/h
D、右中下肺野形成一片密度增高的阴影,与右心缘相连,其上缘锐利平直,由此向下逐渐变淡,移行至正常透亮的肺野,肋膈角清晰
E、侧位片上呈三角形,尖端指向肺门,底部紧接前胸壁或肋膈角,上缘以横裂为界,下缘为斜裂的前半部
F、胸闷,胸痛3天
关注下方微信公众号,搜题查看答案

- 多项选择题4.多长时间为病变的消散期?
A、1~2天
B、3~4天
C、5~6天
D、7~10天
E、10~15天
F、20天
关注下方微信公众号,搜题查看答案

- 多项选择题5.复查时需要做哪些检查?
A、X线平片
B、CT
C、MRI
D、DSA
E、ECT
F、MRE
关注下方微信公众号,搜题查看答案

- 多项选择题6.典型病理变化分期
A、充血期
B、红色肝变期
C、灰色肝变期
D、模糊期
E、吸收期
F、增生期
关注下方微信公众号,搜题查看答案

热门试题
- AIDS的肺部X线表现包括A、混合性实变
- 急性胰腺炎的可能病因包括A、胆石症与胆道
- 1、分析图像,结合病史,最可能的诊断是
- 女,68岁, 2年来左髋部疼痛,2周前剧
- 1、从临床表现你考虑哪些疾病?2、你认为
- 男,27岁,外伤后尺腕部疼痛,结合图像,
- 梯度回波序列的主要优点是A、提高图像信噪
- 正常肝脏的MRI表现A、T
- 1、首选的影像学检查为2、最可能的诊断为
- 肺泡性肺水肿的典型X线征象是A、肺纹理模
- 使用乳腺CT的情况是A、当钼靶片难以确定
- 视网膜母细胞瘤最有价值的CT征象错误的是
- 右侧肺不发育的X线表现有A、胸廓对称B、
- 关于X线,叙述正确的是A、X线管电压增高
- 1、你认为应做哪些检查2、患者所作检查图
- X线质的表示方法主要有 ( )
- 男,10岁,腕部外伤,根据所示图像,最可
- 女,9月, 右上腹包块伴黄疸,结合CT图
- 1、依据上述临床表现,患者可能患哪些疾病
- 下列检查中能用碘化钠做对比剂的是A、胆囊