试题详情
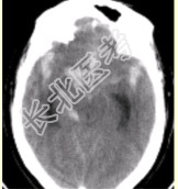
- [材料题] 患者男,50岁,突发昏迷、呕吐1h。查体:颈项强直,脑膜刺激征阳性,CT表现如图1。

- 单项选择题1.初步诊断应为
A、脑血肿
B、脑梗死
C、蛛网膜下腔出血
D、脑血管动静脉畸形
E、正常
关注下方微信公众号,搜题查看答案

- 单项选择题2.进一步确诊蛛网膜下腔出血的病因,应首选
A、CTA
B、MRA
C、MRI
D、MRI增强
E、CT增强
关注下方微信公众号,搜题查看答案

- 单项选择题3.CTA结果如图2所示,该患者的诊断为
(左右与人体一致) A、动静脉畸形
B、海绵状血管瘤
C、发育性静脉畸形
D、烟雾病
E、基底动脉尖和右侧颈内动脉末端动脉瘤
关注下方微信公众号,搜题查看答案

- 单项选择题4.有关动脉瘤,描述正确的是
A、根据形态分为囊状、梭形、夹层及假性层动脉瘤
B、囊状15%发生于颅底willis环或椎基底动脉尖
C、梭形动脉瘤好发于颅底willis环
D、无血栓动脉瘤由于存在流空效应,在T1WI和T2WI上均为高信号
E、动脉瘤脑血管造影均为阳性
关注下方微信公众号,搜题查看答案

热门试题
- 能量减影的理论基础是A、物质的光电效应B
- 男,54岁,胃癌术后4年,发憋,气短,C
- 1、CT表现是(提示查体发现腹部膨隆,肝
- 胆囊腺肌增生症的特征性表现为A、胆影葡胺
- 眶上壁的组成结构为A、额骨眶板B、蝶骨小
- 女,11岁, 发育延迟,头颅巨大, CT
- 多形性胶质母细胞瘤的典型CT表现为A、病
- 女性,43岁, 头痛、发热5天。CT平扫
- 可以接入PACS系统的影像设备类型有A、
- MRI检查优于CT的方面有 (
- CT模拟机的孔径一般应大于多少A、50c
- 含钙化的肾上腺肿瘤是A、嗜铬细胞瘤,皮质
- 男,34岁,头痛流涕数年,近2个月加重较
- 下列哪些更符合肾脓肿表现A、MRI显示中
- 患者男,50岁, B超发现脾内占位性病变
- 1、根据上述资料,你认为应该做哪些检查2
- Wilms瘤的CT征象包括A、包膜完整,
- 目前临床最常用的MRI对比剂是A、Mn-
- 1、根据描述,最可能的诊断是什么2、根据
- 男,52岁,血涕二月余,CT如图所示,最