试题详情
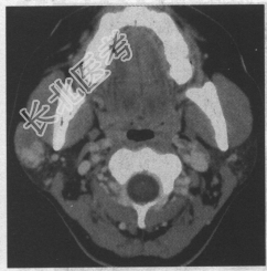
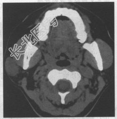
- 单项选择题患者,女, 30岁。无意中发现右侧面部包块半年余。CT检查如下图,诊断为

A、腮腺混合瘤
B、腮腺淋巴瘤
C、腮腺神经鞘瘤
D、腮腺畸胎瘤
E、腮腺囊肿
关注下方微信公众号,搜题查看答案

热门试题
- 腹部仰卧前后位摄片的叙述错误的是 (
- 男,56岁, 上腹不适3个月,CT检查发
- 关于原子能级的相关叙述,错误的是A、移走
- 乳腺癌的CT表现,哪些是正确的A、肿块边
- 关于正常胸腺的CT表现,描述错误的是A、
- 顺铂-乙基纤维其微粒的直径为 (
- 观察外耳道闭锁的最佳摄片体位是 (
- CT的硬件构成包括 ( )A、
- 膝关节正中矢状面上标志性结构为A、股四头
- 手持移动设备的特点A、方便携带B、价格便
- 指出下列摄片技术中,不正确的是 (
- CT对下列哪些疾病有诊断价值 (
- 在CT横断图像上,有关正常卵巢和输卵管的
- 属于重度过敏反应的表现是A、恶心B、灼热
- 金属物品带入磁体孔腔内会导致A、磁场强度
- 制造永磁体的永磁材料有A、铌钛合金B、铁
- SE序列中90度脉冲的作用是 (
- CT示鞍上池囊实性占位病变,囊壁可见蛋壳
- 乳腺压迫器所提供的压力至少为A、20磅B
- 影响照片影像密度的因素错误的是A、正常曝