试题详情
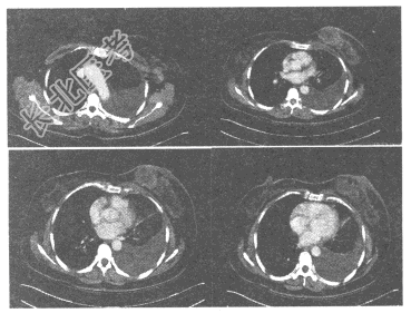
- 单项选择题女,65岁, 发现左乳肿块,质硬, 左腋窝可扪及肿大淋巴结,CT增强扫描如图所示, 其诊断应考虑为

A、乳腺囊性增生症
B、乳腺纤维腺瘤
C、乳腺癌
D、乳腺导管内乳头状瘤
E、乳腺脂肪坏死
关注下方微信公众号,搜题查看答案

热门试题
- 放射工作人员应每年进行一次健康检查,其中
- 介入放射学常用的血管扩张剂为 (
- 常用于慢流静脉及静脉窦成像的技术是A、3
- 女,16岁, 右侧面颊部肿胀,CT扫描如
- 对于肺间质病变细节的观察,最理想的CT技
- 以下疾病,哪些是耳部MRI检查的首选适应
- 关于"急性膀胱炎"的诊断要点,错误的是A
- CT对甲状腺肿瘤的诊断评价,下列说法哪项
- 对于CT的临床应用,以下哪项不对 (
- 位于CT扫描架中的部件是 (
- 1、CEST-分子影像属于的成像技术是2
- 女性,21岁, 上切牙后方发现一囊性突起
- 下列眶内病变诊断要点,哪项不对 (
- 我国放射防护标准中规定,公众年剂量限值是
- 胸片上,肺静脉高压最早出现的影像为
- 第3~7颈椎前后位摄影时,中心线应(
- 平均采集次数与信噪比及采集时间的相互关系
- 胸廓的构成不包括A、锁骨B、胸骨C、肋骨
- 窗宽窗位均选为100,则CT值的显示范围
- X线装置对电源要求的叙述,正确的是A、瞬