试题详情
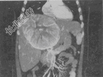
- 单项选择题男,54岁, 有乙肝病史,现腹胀, 右上腹痛,消化不良, 消瘦、乏力、贫血、黄疸,血清转氨酶升高, 白蛋白/球蛋白比值倒置,CT、MRI检查如图, 最可能的诊断是

A、肝脓肿
B、局灶性结节增生
C、原发性肝癌
D、肝转移癌
E、肝炎性假瘤
关注下方微信公众号,搜题查看答案

热门试题
- 关于鼻骨侧位体位描述正确的是A、受检者俯
- 如经肘正中静脉进行增强扫描,下列结构中哪
- 下列诊断盆腔动脉血管疾病最佳序列是A、2
- 颈部肿块最多见于 ( )A、甲状
- CT的发明人是 ( )A、考迈克
- 1、关于像素,叙述正确的是2、关于矩阵,
- 下列哪项不是X线胶片的基本结构A、胶片片
- 有关中心线的叙述错误的是 (
- 颈动脉三角常见病变A、血管性病变B、神经
- 胶片密度与曝光量成正比关系的,是特性曲线
- CT数据采集系统的作用之一是A、将接收到
- 与幼儿相比,不属于老年人腹部特点的是A、
- 膝关节正中矢状面上标志性结构为A、股四头
- X线产生过程中,电子高速运动所需能量主要
- 1、数字图像的形成过程是2、将图像中每个
- 定影的主要目的是A、溶解未感光的卤化银B
- 下述分辨率的有关说法中哪项欠妥A、密度分
- EBCTA、多层螺旋CTB、多源CTC、
- 有关DSA的适应证,错误的是A、先天性心
- 翼腭窝作为判定肿瘤是否侵犯周围结构的依据