试题详情
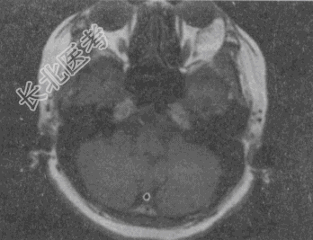
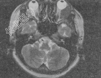
- 单项选择题女,52岁, 左眼球突出20余年,T
、T
均正常, 影像检查如图所示,最可能的诊断是

A、错构瘤
B、脂肪瘤
C、畸胎瘤
D、血管瘤
E、炎性假瘤
关注下方微信公众号,搜题查看答案

热门试题
- 男性,22岁,发现右颈部肿物5年,逐渐增
- 一幅CT图像的像素边长为0.5mm,矩阵
- 热敏头的组成部分是A、放热部分B、电路控
- CT检查中:①钙化②囊液③脂肪④新鲜出血
- 下面对腹部CT扫描技术的描述错误的是A、
- 典型肝硬化的CT表现A、脾大,脾、胃底静
- 腹主动脉的分支包括脏支和壁支,其脏支不包
- 体层摄影中,被照体的欲选成像平面称A、支
- CT矩阵与像素大小的关系( )。A
- 在自动冲洗技术的管理方法中,没有实际效果
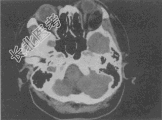
- 男,32岁, 左侧下颌部肿块,CT如图所
- 可用作X线胶片感光物质的是A、AgBrB
- 下面关于三角架骨折的说法不正确的是A、额
- 眼部的感觉神经是A、泪腺神经和额神经B、
- 影响X线强度分布的因素是 (
- 不属于医用诊断X线装置主电路工作方式的是
- 关于增强扫描腹部脏器的CT检查,错误的是
- 关于鼻窦囊肿的描述,正确的是A、一般分黏
- 有关X线束、照射野的叙述,错误的是A、X
- 关于视网膜母细胞瘤,下列哪项不是其常见的