试题详情
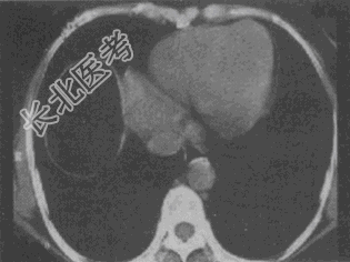
- 单项选择题患者男,30岁, 右下腹稍隆起,CT检查如图, 最可能的诊断为

A、右膈下脓肿
B、间位结肠
C、右膈下脂肪瘤
D、右下肺肺大疱
E、右下肺炎
关注下方微信公众号,搜题查看答案

热门试题
- 1、超声的表现提示患者存在(提示超声示胆
- 男性,39岁, "癫痫"发作2次,无发热
- 关于胃CT扫描的适应证,叙述正确的是A、
- 不易在冠状位CT上显示的颌面骨骨折是A、
- 胆囊癌的特点包括A、胆囊壁呈局限性或弥漫
- 关于鼻咽癌CT扫描技术,描述错误的是
- PACS实现数字影像浏览阅片技术不包括的
- 对CT空间分辨率的论述,正确的是A、对一
- 企业级影像集成平台不直接参与的项目是A、
- 鞍区肿瘤、垂体瘤患者应首选的摄影位置是A
- 关于显示野、矩阵、像素值三者的关系,叙述
- 下列对X线属高感受性组织器官的是 (
- 磁共振分子探针类型有A、顺磁性探针B、超
- 下列可引起肾盏肾盂受压变形的疾病为
- CT增强扫描前病人的禁食时间为 (
- X线性质的叙述,正确的是A、肉眼可见B、
- 头颅平片用来确定颅内压增高的主要依据是A
- 关于DSA的优点,下述错误的是 (
- 亚急性期脑梗死的MRI特征性表现是A、D
- DSA造影期间一般进行两次曝光,一次是在