试题详情
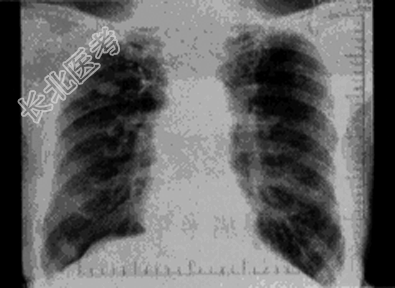
- 单项选择题患者男,69岁, 胸闷气促多年,近来咳嗽, 无胸痛、无痰中带血,X线检查如图, 最可能的诊断是

A、慢支肺气肿、右上肺肿瘤
B、慢支肺气肿、右上肺炎性假瘤
C、慢支肺气肿、右上肺结核瘤
D、慢支肺气肿、肺转移瘤
E、慢支肺气肿、结节病
关注下方微信公众号,搜题查看答案

热门试题
- CT示咽旁间隙向外移位,提示占位病变来源
- 1、本病最可能诊断为2、本病起源于
- 摄肩关节盂前后位应在常规肩关节前后位基础
- CT扫描常见的伪影有 ( )A
- 不属于CT重建方法的有A、反投影法B、迭
- 关于X线管容量的组合,错误的是A、瞬时负
- 视神经管位(Rhees’s)摄片,正确的
- 下列说法正确的是 ( )A、介
- CR的影像载体是A、FPDB、IPC、C
- 用立位滤线器摄片的体位是 (
- 诊断用X射线机房的主防护铅当量厚度应是(
- 1、对于该患者首选的检查是2、颅脑CT检
- DSA中采集到的存储于存储器1中的没有对
- 胸部DR摄影与常规X线摄影相比,DR摄影
- 自由水具有的特性是A、运动频率低于Lam
- 国际上CT的英文全称统一采用的名称是
- X线摄片某处对入射光线吸收率为90%,此
- 急性中耳炎的X线表现应除外A、咽鼓管透亮
- 水洗不充分的照片,主要导致A、影像密度下
- 关于甲状腺肿物CT检查的描述,不正确的是