试题详情
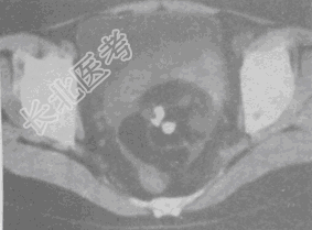
- 单项选择题女,52岁, 下腹部胀痛,B超提示盆腔占位, CT扫描如图所示,盆腔内见囊实性肿块, 其内CT值不均,从-120至300Hu不等, 最可能的诊断是

A、盆腔畸胎瘤
B、盆腔结核
C、子宫肌瘤
D、卵巢囊肿
E、卵巢黏液瘤
关注下方微信公众号,搜题查看答案

热门试题
- X线发生装置不包括A、高压发生器B、影像
- 肺脓肿的CT表现是A、可早期诊断肺脓肿B
- 以下哪种患者一般不进行MR检查A、急性脑
- 关于直接热敏成像打印机,叙述正确的有A、
- 男性盆腔CT检查,能观察的是A、生殖器肿
- 靶面倾角是X线管的A、电参数B、结构参数
- 局限性纤维化的常见原因为 ( )
- 关于CT伪影的叙述,错误的是A、伪影通常
- 胰腺的供养动脉来源不可能是A、胰十二指肠
- 下面关于颅脑MRI检查技术的叙述正确的是
- 关于肩关节穿胸侧位体位,叙述正确的是A、
- 下列哪一种为非离子型对比剂 (
- X线的产生,下述哪项不正确 (
- 空间分辨率是指A、对组织对比差异的显示能
- 关于心脏大血管MRI,叙述正确的是A、二
- 在X线机电路中,高压整流器位于A、灯丝电
- 肝脏增强扫描动脉期,对以下哪种病变诊断价
- 与CT噪声无关的因素是A、X线剂量B、扫
- DSA设备多采用金属陶瓷管壳、液态金属轴
- 不能做膀胱造影检查的方法是A、静脉肾盂法