试题详情
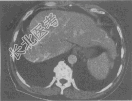
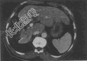
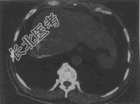
- 单项选择题女,56岁, 腹胀、双下肢水肿、乏力、食欲缺乏,影像所见如下图, 最可能的诊断是

A、酒精性肝硬化并肝血管瘤
B、血吸虫肝硬化并肝癌
C、肝炎后肝硬化并肝癌
D、局限性脂肪肝
E、原发性肝癌
关注下方微信公众号,搜题查看答案

热门试题
- 改善DSA图像质量措施不包括A、减少运动
- 胸廓的构成不包括A、锁骨B、胸骨C、肋骨
- 已婚妇女,盆腔CT扫描为了显示阴道和宫颈
- 有关放大摄影的叙述,错误的是A、首先应计
- 甲状旁腺功能亢进最具特征的X线征象是A、
- 肺动脉高压的典型表现为 ( )A
- DSA检查常用的器械不包括A、消毒手术包
- 将人体纵切为左右两部分的切面为 (
- K空间周边区域的数据主要决定A、图像的矩
- 关于头颅侧位中心线,叙述正确的是A、对准
- 滑膜关节在X线片上可见 ( )
- 在解剖学中被称为大脑基底线的是A、听眉线
- 关于X线的特性,下列哪些说法是正确的A、
- 患者男,55岁,呼吸困难,气喘,查体桶状
- 常用于慢流静脉及静脉窦成像的技术是A、3
- 属于喉炎性肉芽肿的是 ( )A
- 对于自旋回波序列(SE)的描述,下列说法
- 目前____是唯一一种能无创探测活体组织
- 在扫描过程中,扫描部位随意和不随意的运动
- 下列哪一项不是MRI检查的禁忌证A、置有