试题详情
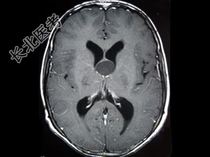
- 单项选择题女,29岁, 头痛、头昏10年,伴记忆力下降, 根据所提供图像,最可能的诊断是 ( )

A、胶样囊肿
B、蛛网膜囊肿
C、胶质瘤
D、室管膜瘤
E、表皮样囊肿
关注下方微信公众号,搜题查看答案

热门试题
- CT图像形成所采用的方式是A、光学成像B
- 以下选项中,乳突许氏位投照时,球管中心线
- 下述哪些生物栓塞物质为患者自体组织
- 关于大叶性肺炎,不正确的是A、累及一个或
- 关于CT灌注,叙述错误的是A、CT灌注成
- 下列有关乳腺癌的描述,哪项是错误的
- 儿童静脉尿路造影,1次静脉注射对比剂用量
- 关于慢性肺炎,错误的是A、又称为慢性非特
- 成对的骨骼是A、鼻骨B、额骨C、枕骨D、
- Warthin瘤的特征性信号为A、T
- 眼球突出分为 ( )A、间歇性
- 关于ECT的叙述,错误的是A、以引入体内
- 对临床怀疑“肾盂癌”的患者,应首选以下哪
- 男性,50岁,有脂肪肝病史,CT发现稍高
- 管电压为120kVp,高压电缆对地电压为
- 以下哪项不是MRI的优点 ( )
- 暗室与机房之间建筑防护厚度一般应大于1.
- 影响锐利度的因素的叙述,正确的是 (
- 有关窗宽的论述,错误的是A、窗宽决定显示
- X线胶片的结构主要包括 ( )