试题详情
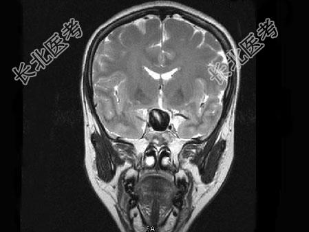
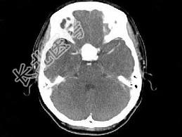
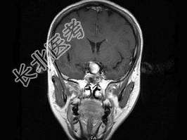
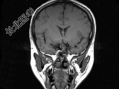
- 单项选择题女,43岁, 反复头痛10个月,CT检查如图, 最可能的诊断是 ( )

A、颅咽管瘤
B、垂体瘤
C、颈内动脉瘤
D、脑膜瘤
E、胶质瘤
关注下方微信公众号,搜题查看答案

热门试题
- 胸部侧位标准片所见,描述错误的是A、无组
- 影响X线量和质的因素不包括 (
- 心脏右前斜位摄影,身体冠状面与胶片夹角为
- 关于阳性对比剂的叙述,错误的是A、与周围
- 结合水的运动频率接近于Larmor频率,
- 关于面神经管第二段表述错误的是:A、又称
- 属于图像处理与分析功能的是A、参考图像调
- 女,23岁, 临床高度怀疑子宫先天畸形,
- 有关摄片距离的叙述,正确的是 (
- CT机房和计算机房的适宜温度为A、15~
- 1、肾、输尿管及膀胱前后位摄影要点是2、
- “IV-DSA”插管,通常选 (
- 关于CT滤过器,叙述错误的是A、需探测器
- 属于中空性器官的是A、肝B、肾C、胰D、
- 关于腕关节外展位标准影像显示叙述正确的是
- 显示股骨头、股骨颈和股骨头韧带的最佳方位
- 在影响X线减弱的因素中正确的是A、X线能
- 下列说法正确的是(介入化学药物) (
- 关于“肠结核”影像,下述叙述不正确的是A
- 1、医院影像科室质量保证体系的建立包括许